昆山市一医院提醒您!腹部“隐秘的炸弹”---腹主动脉瘤
自“开发区腹主动脉瘤筛查项目”顺利实施后
退休的施先生,60岁
在社区腹部B超体检时
发现一个明显的包块
并伴随着明显的搏动现象
社区医务人员立刻引起了高度重视
建议施先生至昆山市一医院血管外科
进行进一步检查
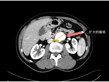
主动脉CT血管造影检查结果是
腹主动脉夹层动脉瘤
直径已达到4.45厘米
血管外科朱健主任团队
迅速评估完施先生病情后
制定了详细的手术方案
在局部麻醉下行腹主动脉覆膜腔内隔绝术
手术进行非常顺利
施先生在血管外科医护团队的护理下
现已康复出院
Q1
腹主动脉瘤是一种什么疾病?
人体内部最大的动脉被称之为主动脉,它宛如一条生命之河,静*地*落在心脏的出口端,承载着心脏泵出的宝贵血液,将养分与氧气输送至全身的四肢与各个重要的脏器之中,维持着生命体的正常运作。
主动脉可被细致地划分为胸主动脉和腹主动脉两大部分。其中,腹主动脉宛如一条隐秘的脉络,深藏于人体的腹部深处,它巧妙地穿梭于肠道的后方与脊柱的前方,默默地履行着它的职责。
然而,即使是这条坚强的腹主动脉,有时也会遭受疾病的侵袭。腹主动脉瘤,便是其中的一种可怕病症。一旦这种瘤体发生破裂,血液便会如同决堤的洪水般倾泻而出,瞬间导致人体因大量失血而陷入休克状态。更为令人震惊的是,腹主动脉瘤的病死率高达惊人的90%,这无疑为这一疾病增添了更多的恐怖色彩。因此,对于腹主动脉瘤的预防与治疗,我们必须予以足够的重视,以确保生命的安全与健康。
Q2
为什么会得腹主动脉瘤?
随着岁月的流逝,我们的血管也会逐渐失去原本的弹性而变得僵硬。诸如血管粥样硬化等状况,以及高血压的影响,都是导致血管变硬的重要因素。同时,吸烟也加剧了这一趋势,烟草中的有害物质能够引发血管痉挛,使得血脂、血糖以及胆固醇等有害物质在血管内壁逐渐堆积。这些物质的不断积累,会对血管内壁产生反复的刺激,导致血管损伤,并逐渐变得薄弱易碎。
一旦血管受到损伤,血液流速加快,而血管壁则可能无法承受这种压力,最终形成瘤。这种情况的发生,不仅影响了血液的正常循环,还可能对我们的健康造成严重的威胁。
Q3
出现腹主动脉瘤一般会有些什么症状?
在早期阶段,通常不会引起显著的不适感受,然而,随着时间的推移,瘤体逐渐增大,可能会逐渐对肠道施加压力,导致腹痛等不适症状的出现;若瘤体压迫到脊柱神经,则可能诱发腰酸背痛的不适感觉。特别是对于体型偏瘦的人群而言,当他们平躺时,有时甚至可以触摸到一个搏动的包块,这是肿瘤存在的一个明显体征。
Q4
腹主动脉瘤多大时需要治疗?
目前专家们认为瘤体直径超过4厘米时,破裂的风险已达到20%;若瘤体直径超过6厘米,破裂风险更是显著增加至40%。尽管目前我们还无法精确预测动脉瘤的增长速度和破裂风险,但即便是较小的动脉瘤,也存在快速增长甚至破裂的潜在风险,所以不容忽视。
Q5
哪些检查可以排查腹主动脉瘤?
首先,我们可以通过进行腹部B超检查来初步排查可能存在的问题,然而,为了更为精确且明确地诊断病因,还需接受主动脉CT血管造影。
昆山市第一人民医院
血管外科简介
昆山市第一人民医院血管外科创建于2014年,独立成科于2020年,为江苏省重点专科普通外科的重要组成部分;作为全国静脉疾病规范化诊疗中心省级示范中心、昆山市静脉血栓防治联盟主席单位、昆山市静脉血栓防治基地,承担昆山市静脉血栓栓塞疾病的诊治工作。
科室与南京鼓楼医院、上海中山医院血管外科建立医疗联盟单位。建立国之名医、江苏省血管外科主任委员李晓强教授专家工作室。科室开展的手术难度、手术规模位于江苏省同级医院领先,尤其在主动脉夹层、胸腹主动脉瘤破裂、颈总动脉横断、颈静脉破裂、肺栓塞等血管外科危重患者的抢救方面具备实力。近年来,多次荣获江苏省、苏州市级医学新技术引进奖。
来源:昆山市第一人民医院



























