昆山中医院心血管科仅用2枚“夹子”关上了“合不住的心门”!
近日
昆山市中医医院心血管科
顺利完成首台
Mitraclip经导管二尖瓣钳夹术(TEER)
这一例无需开胸
经导管介入手术的成功
不仅标志着医院心血管科
在心脏瓣膜疾病治疗领域
取得了新的进展
也为患者提供了
更舒适、更安全的选择!
该患者罹患二尖瓣脱垂伴有重度反流,反流位于二尖瓣3区。在上海中山医院潘文志教授的指导下,医院心血管科潘文主任手术团队协同超声科、麻醉科、导管室,经过术前充分评估、术中通力合作,顺利完成了手术。这标志着昆山市中医医院心血管科介入手术团队在心脏瓣膜介入技术领域又迈出了坚实的一步!
你听说过二尖瓣反流么?
我们的心脏有4个“门”(瓣膜):主动脉瓣、肺动脉瓣、二尖瓣、三尖瓣。
“门”的闭合让血液“单向”流动,如果“门”关不牢就会出现血液反向流动,血液无法正常输送到全身的同时造成血液“积压”,心肺压力负荷过重。中重度以上二尖瓣反流(MR≥3+)患者往往存在心力衰竭症状,如不及时纠正,则预后不良。
由于部分患者高龄、心功能不全等问题,传统的外科开胸手术风险较高;而MitraClip手术——微创治疗二尖瓣反流的新方案可有效减少手术创伤,为更多患者带来希望。
用2枚“夹子”修复“心门”
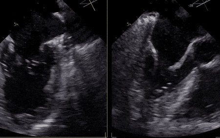
患者邵爷爷今年70岁,发现心脏瓣膜问题后辗转多地医院就诊未果,在昆山市中医医院经超声心动图检查,评估为二尖瓣重度反流。
▲患者术前超声影像
心血管科潘文主任团队组织多学科团队充分评估讨论,经过与家属详细沟通后,决定做Mitraclip经导管二尖瓣缘对缘修复术,并制定了整个微创手术的治疗及护理方案,保障患者安全。
手术仅在腿部切一个2cm的小口,从切口处送入一枚“小夹子”,在心脏超声引导下,将夹子送入左心室,夹住返流最重的位置,降低反流至轻度。
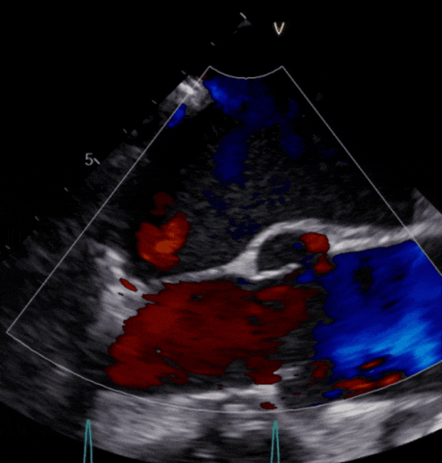
患者二尖瓣3区前叶脱垂,脱垂宽度13mm,瓣口面积5.6cm2,平均跨瓣压差1.3mmHg。术前评估病人情况后决定采取策略在反流最大处植入一枚到两枚XTR或NTR,降低反流。
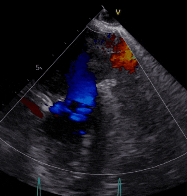
手术经股静脉置管,房间隔穿刺并置入导引导管后,送入第一枚NTR,经过左房定位到达反流位置,准确捕获并夹合前、后瓣反流严重部位,原本重度的二尖瓣反流降低为中度,决定植入第二枚NTR,最终反流降低至轻度,超声评估夹子夹合稳定、肺静脉逆流改善、平均跨瓣压差3.17mmHg,患者各项生理指标正常,手术顺利完成。
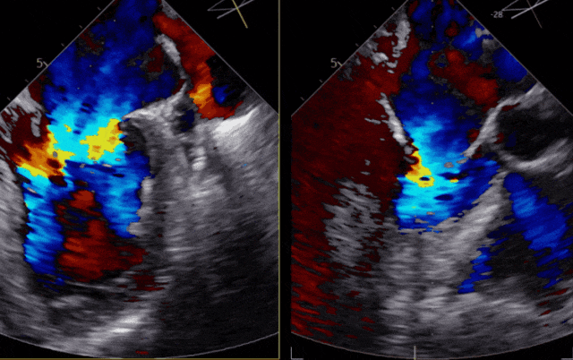
▲患者术后超声影像
MitraClip手术创伤小、恢复快!邵爷爷术后心脏功能即刻获得明显改善,第二天即可下床活动,第四天即可出院。
该手术的顺利实施,有力彰显了昆山市中医医院在二尖瓣介入领域的技术水准,有效推动了该技术在国内的临床应用进程。
市中医医院心血管科简介
昆山市中医医院心血管科为苏州市中医重点专科、昆山市重点专科,科室拥有床位70张(CCU 13张),配备心导管室、心功能室、心超室、心脏康复室及中医操作室,年门诊量超7万人次,年出院患者超3300人次;心血管科常规开展各类冠脉介入治疗手术,心脏起搏器及射频消融、结构性心脏病介入手术、心脏瓣膜病介入手术等。2023年开展各类心脏介入手术3000余台。
来源:昆山市中医医院



























