漫谈肿瘤丨什么样的人更“招”肿瘤?早期信号别忽略……

当"肿瘤"成为第一诊断,慌乱与迷茫常如潮水般涌来。但请相信,这并非命运的最终宣判。我们将带您重新认识这位"不速之客":化疗不是洪水猛兽,靶向治疗藏着基因密码,免疫治疗正唤醒人体自愈力,而中医千年智慧始终为生命续航。
肿瘤治疗早已不是非黑即白的战场,精准医学的显微镜下,每个病例都是独特的生命叙事。医患同心共筑防线,科学为伴贯穿防治,关注【漫谈肿瘤】,让我们以科学为舟,穿越认知的迷雾海;以希望为帆,驶向健康的新航程。
很多人会问肿瘤是不是就是癌症,这里就要解释下肿瘤分为良性和恶性:良性肿瘤大多生长缓慢,无转移能力;恶性肿瘤多生长迅速,常有转移,侵犯其他脏器组织 —— 这是恶性肿瘤区别于良性肿瘤的重要特征,因此我们通常将恶性肿瘤称为癌症。
病理诊断是确定肿瘤性质身份的 “金标准”,直接决定后续治疗方案。本篇要和大家聊的 “肿瘤君”,正是需要警惕的恶性肿瘤
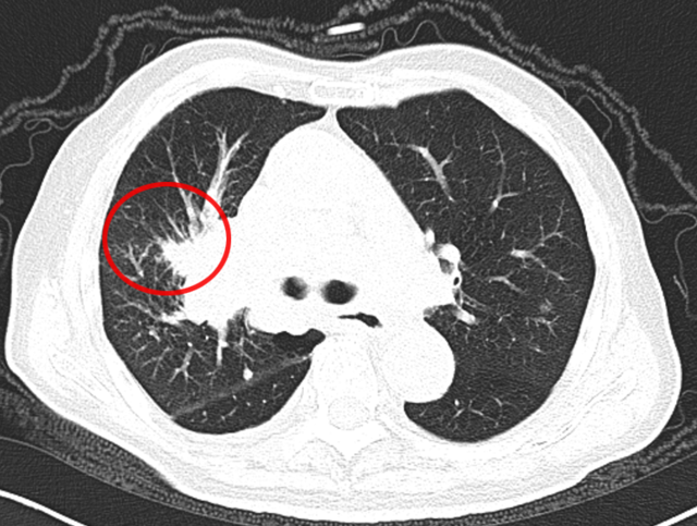
临床上曾遇到一位 80 岁的老先生,1 年多前做过结肠癌手术,病理提示为 “低分化腺癌”,术后也完成了辅助化疗。近期复查 CT 时,医生发现他的右肺门长了新东西!


从 CT 影像看,这个右肺门肿块高度怀疑是恶性肿瘤。但问题来了:老先生有结肠癌病史,这个肺肿块是新长的肺癌(原住民),还是结肠癌转移到肺部(移民者) ?
要知道,这两种情况的治疗方案截然不同,必须先明确 “肿瘤君的身份”。
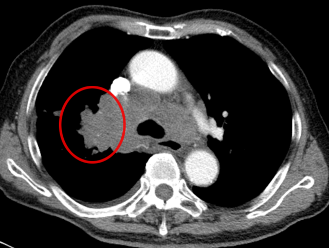
起初,常规思路是做气管镜检查取病理,但完善肺功能检查后发现,老先生有重度阻塞性肺通气功能障碍(相当于呼吸系统 “交通堵塞”),根本耐受不了气管镜。好在这个肿块虽然位置特殊,但体积较大、离胸壁较近 —— 和患者及家属充分沟通后,医生决定采用 “CT 引导下经皮肺穿刺活检”。
操作很快完成,术中术后都没有出现血气胸,老先生精神状态良好,也没觉得胸闷胸痛。3 天后病理报告出来了:小细胞癌!原来这不是结肠癌肺转移,而是老爷爷患上了第二种原发肿瘤,是肺里地地道道的 “原住民”。


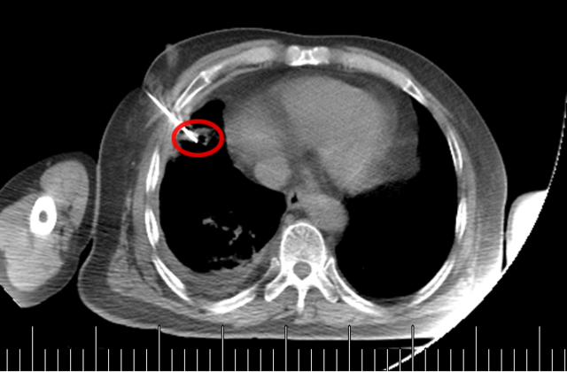
还有另一位患者,肺部结节只有 15mm,还合并了空洞,医生同样通过 CT 引导精准定位,成功完成经皮肺穿刺取到病理组织,最终诊断为 “腺癌”(免疫组化提示 CK7、TIF-1、NapsinA 阳性,排除其他类型肿瘤)。


它就像一位精准定位的 “远程射手”:在 CT 的 “透视眼” 帮助下,医生能清晰看到肺部病变的位置、大小,以及周围的血管、气管等结构;随后用一根细针,从胸壁皮肤轻轻穿刺进入肺部,直达病变部位,抽取少量组织送检。
这种方式尤其适合深部或微小病灶—— 比如位置藏得深、体积小到 1cm 左右的病灶,CT 引导几乎是实现精准穿刺的唯一选择,能帮医生在不 “大动干戈” 的情况下明确肿瘤身份。
若无法穿刺或做气管镜 还有其他办法?
答案当然是 “有”!
病理活检的方式不止一种
比如

-
纵隔镜活检:适合靠近纵隔(胸腔中部)的病灶;
-
超声内镜引导下细针穿刺(EUS-FNA):能针对纵隔、食管周围的病变取样;
-
胸腔镜活检:属于微创手术,能直接观察胸腔内情况并取组织;
-
液体活检:通过血液、胸腔积液、脑脊液等体液检测肿瘤细胞或基因,适合无法取到实体组织的情况。
了解了肿瘤的诊断方式,很多人会问:“为什么有的人一辈子不得癌,有的人却容易‘招惹’肿瘤?” 这就涉及 “肿瘤易感性”—— 它不是说 “一定会得癌”,而是指某些人因为先天或后天因素,比普通人有更高的患病风险,就像有的人天生对花粉敏感一样。常见因素主要有三类:
-
遗传因素:如果家族中有 2-3 位亲属患过同一种或相关肿瘤(比如乳腺癌、结肠癌),尤其是发病年龄较轻(如低于 50 岁),可能存在遗传易感性。比如 BRCA1/2 基因突变的人,患乳腺癌、卵巢癌的风险会显著升高,但这并不意味着 “一定会遗传”,只是风险更高。
-
生活习惯因素:长期吸烟(包括二手烟)、酗酒、熬夜、饮食重油重盐(比如常吃腌制、烧烤食品)、缺乏运动等,会慢慢损伤身体细胞,增加肿瘤发生风险。比如长期吸烟的人,患肺癌的风险是不吸烟者的 10-20 倍。
-
环境与职业因素:长期接触致癌物(如甲醛、苯、石棉、放射性物质),或生活在空气污染严重、水质不佳的环境中,也会提高肿瘤易感性。比如长期接触石棉的人,患胸膜间皮瘤的风险会增加。
肿瘤早期往往不会 “大喊大叫”,但身体会发出一些 “小信号”,一旦出现要及时警惕:
-
不明原因的体重下降:半年内体重突然下降 5 公斤以上,且没有刻意节食、运动,要排查肿瘤(如胃癌、肺癌、胰腺癌等);
-
持续的 “小不适”:比如长期低热(体温 37.5-38℃,持续 2 周以上)、不明原因的乏力、胸闷、胸痛或长期咳嗽(超过 3 周)、声音嘶哑,可能是肺癌的早期信号;
-
异常出血或分泌物:比如痰中带血、大便带血(尤其是黑色或鲜红色)、小便带血、女性非经期**出血,可能提示肺癌、结肠癌、膀胱癌或妇科肿瘤;
-
身体出现 “小肿块”:比如乳腺、甲状腺、颈部、腋下出现质地硬、边界不清、不活动、不痛的肿块,要警惕肿瘤可能;
-
消化或排泄异常:比如长期腹胀、腹痛、吞咽困难(吃东西时感觉 “卡”),或便秘与腹泻交替出现,可能与胃肠道肿瘤有关。
需要提醒的是:这些信号并非肿瘤 “专属”,也可能是普通疾病(如感冒、胃炎)引起的,但 “有信号就及时查”,才能避免错过早期机会。
比起 “等信号”,主动筛查是早期发现肿瘤的更有效方式。不同人群的筛查重点不同,建议参考以下建议:
-
肺癌筛查:有吸烟史(每年吸烟≥20 包)、有肺癌家族史或长期接触致癌物的人,每年做 1 次低剂量螺旋 CT,比胸片更能发现早期微小病灶;
-
结直肠癌筛查:50 岁以上人群,可每 3-5 年做 1 次肠镜(若发现息肉及时切除,能大幅降低癌变风险),或每年做 1 次粪便潜血试验;有结肠癌家族史的人,建议提前到 35 岁开始筛查;
-
乳腺癌筛查:40 岁以上女性,可每年做 1 次乳腺超声 + 钼靶检查;有乳腺癌家族史或 BRCA 基因突变的人,可提前到 35 岁,还可加做乳腺 MRI;
-
胃癌筛查:35 岁以上、有胃癌家族史、长期幽门螺杆菌感染或有胃溃疡的人,可每 1 年做 1 次胃镜;
-
通用筛查:每年常规体检时,可加入肿瘤标志物检测(如 CEA、CA125、AFP 等),但要注意:肿瘤标志物升高不一定是癌,正常也不能完全排除癌,需结合影像学检查判断。
肿瘤君的 “身份”(良性 / 恶性、原发 / 转移)决定了治疗的大方向,而早期发现则是掌握抗癌主动权的关键 —— 越早发现,治疗效果越好,很多早期肿瘤通过手术、化疗、靶向治疗等,5 年生存率能达到 80% 以上(比如早期肺癌 5 年生存率约 70%,而晚期不足 10%)。

随着医学进步,分期检查、基因检测、MDT 多学科讨论(外科、内科、放疗科等医生一起制定方案)的结合,还能为患者定制 “个体化精准治疗方案”。希望大家既不恐慌肿瘤,也不忽视身体信号,主动做好筛查,让更多肿瘤君在早期就被 “识破”,守护自己和家人的健康。
▲扫码关注
肿瘤科公众号“希爱俱乐部”
《漫谈肿瘤》科普小分队


来源:昆山市中医医院