夜间模式
  • 45410阅读
  • 67回复

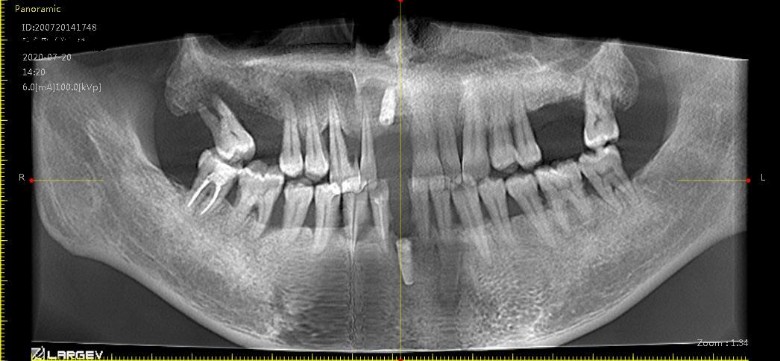
我去种牙了过程是这样复杂的么 [复制链接]

上一主题 下一主题
离线老张张
发帖
3267
昆币
5309 枚
60楼 发表于: 2024-02-26 , 来自:江苏省0==
回 紫薰草80 的帖子
紫薰草80:螺帽掉了很正常,我吃吃饭就掉下来了,找医生拧紧就好了,自己拧不牢,又不是植体掉出来,每个种牙的都要经历一下 (2024-02-26 15:23)

对的,螺帽掉了。刚醒来发现嘴巴里有个东西着实吓一跳呢。差点咽下去咋整
爆料有奖!关注昆山论坛抖音号,抖音搜索“昆山论坛”,或搜索抖音号:ksbbs
 
离线紫薰草80
发帖
956
昆币
1910 枚
61楼 发表于: 2024-02-28 , 来自:江苏省0==
回 老张张 的帖子
老张张:对的,螺帽掉了。刚醒来发现嘴巴里有个东西着实吓一跳呢。差点咽下去咋整 (2024-02-26 15:31)

让医生给你拧紧就好了,都要经历这一步的
爆料有奖!关注昆山论坛抖音号,抖音搜索“昆山论坛”,或搜索抖音号:ksbbs
 
帅哥离线孤狼的传说
发帖
18069
昆币
15447 枚
62楼 发表于: 2024-02-28 , 来自:江苏省0==

爆料有奖!关注昆山论坛抖音号,抖音搜索“昆山论坛”,或搜索抖音号:ksbbs
 
帅哥离线鹿城量见
发帖
691
昆币
720 枚
63楼 发表于: 2024-02-28 , 来自:江苏省0==
爆料有奖!关注昆山论坛抖音号,抖音搜索“昆山论坛”,或搜索抖音号:ksbbs
 
帅哥离线鹿城量见
发帖
691
昆币
720 枚
64楼 发表于: 2024-02-28 , 来自:江苏省0==
爆料有奖!关注昆山论坛抖音号,抖音搜索“昆山论坛”,或搜索抖音号:ksbbs
 
美女离线萌萌蒙蒙
级别: 昆山过客
发帖
59
昆币
68 枚
65楼 发表于: 2024-02-28 , 来自:江苏省0==
想拔牙,靠着牙神经不敢去
爆料有奖!关注昆山论坛抖音号,抖音搜索“昆山论坛”,或搜索抖音号:ksbbs
 
离线小雅.
发帖
1617
昆币
137 枚
66楼 发表于: 2024-02-29 , 来自:江苏省0==
LZ在三院周主任那种的吗,她的号好难挂,我有颗牙齿掉了一半,估计也只能拔掉种植了
爆料有奖!关注昆山论坛抖音号,抖音搜索“昆山论坛”,或搜索抖音号:ksbbs
 
帅哥离线鹿城量见
发帖
691
昆币
720 枚
67楼 发表于: 2024-02-29 , 来自:江苏省0==
爆料有奖!关注昆山论坛抖音号,抖音搜索“昆山论坛”,或搜索抖音号:ksbbs
 
快速回复
限76 字节
批量上传需要先选择文件,再选择上传
 
上一个 下一个