夜间模式
  • 12968阅读
  • 0回复

[昆山要闻]阑尾炎2天治愈出院!昆山首例子母镜系统直视下逆行性阑尾炎治疗术 [复制链接]

上一主题 下一主题
发帖
3203
昆币
77434 枚
只看楼主 使用道具 电梯直达
楼主  发表于: 2024-03-08 , 来自:江苏省0==
图片


近日,昆山市中医医院脾胃肝胆科成功实施了一例内镜下逆行性阑尾炎治疗术(endoscopic retrograde appendicitis therapy, ERAT),不仅快速缓解了阑尾炎症状,还保全了阑尾器官。

据悉,这是昆山地区首例利用内镜技术开展的成人阑尾炎治疗术。

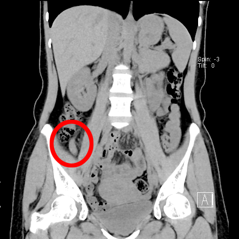
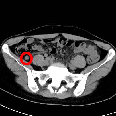
患者于3年前出现腹痛,以脐周及右下腹为主,疼痛反复发作,药物治疗后均无明显改善,辗转多家医院就诊,大大影响了患者的生活质量。近日患者来到我院脾胃肝胆科主任徐宏伟教授门诊就诊,徐宏伟主任结合患者的体征和CT检查结果,诊断为慢性阑尾炎。

结合患者一般情况及治疗意愿,建议患者可以尝试内镜下逆行性阑尾炎治疗术,这样既能避免手术创伤、还能保全阑尾,获得快速的恢复。患者详细了解后同意接受此新技术治疗。

图片
图片

次日上午脾胃肝胆科徐宏伟、许邹华、汪尧东医生及高明芳护士长的护理团队在麻醉科潘鹏医生辅助下成功为患者进行手术。

图片

术中利用无痛肠镜技术到达阑尾开口,采用最新的“eyeMAX洞察”子母镜系统直视下进入阑尾腔内,通过冲洗、引流、网篮套取等操作,将嵌顿于阑尾腔内的粪石取出,术后患者腹痛明显缓解,1h后即可下地行走。次日顺利出院。

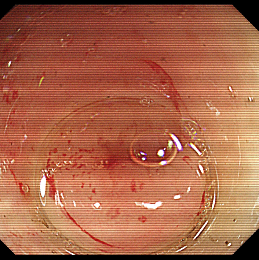
手术过程




1、肠镜系统察看阑尾窝红肿糜烂

图片

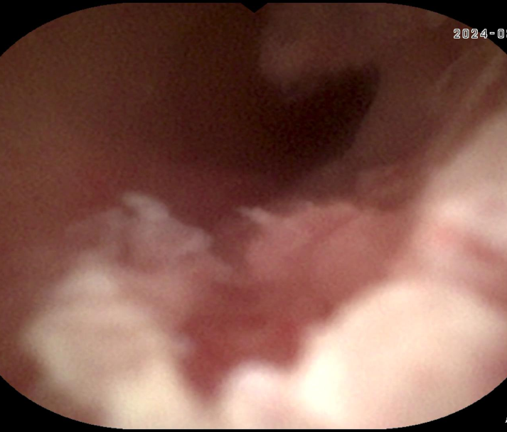
2、洞察系统插入

图片

3、洞察系统察看粪石并套取

图片

4、脓肿冲洗

图片

5、术后阑尾腔

图片

6、肠镜下粪石冲出

图片

7、阑尾内支架植入引流

图片



据徐宏伟主任介绍:内镜下逆行性阑尾炎治疗术是一种新型的内镜技术,经肠镜达到阑尾开口处,通过子母镜系统将超细的内镜探头置入阑尾腔内,直视下观察阑尾内部情况,并通过相关的器械(导管、网篮、支架等)对阑尾内的脓液、粪石进行处理,解除阑尾的梗阻,清除阑尾的炎症,是阑尾炎治疗的一种新型方式,相比外科手术而言,有着以下三大特点:

特点一:创伤小、恢复快

作为一项微创技术,ERAT术后当天腹痛就能获得明显缓解,术后不需要绝对卧床,部分患者术后可自行走回病房。一般1-2天就可以出院,大大缩短了住院时间。术后早期活动也有利于患者的恢复,符合了快速康复的医疗理念。

特点二 :保留了阑尾的各项功能

1.免疫功能

阑尾是一个淋巴器官,其淋巴组织在出生后就开始出现,12~20 岁达高峰。如果手术切除了阑尾,就会失去了阑尾的免疫功能,特别是对于年轻患者而言,意义尤为重大。由于阑尾中丰富的淋巴组织能够“捕获”血液中的病原体继而发生炎症,被称为“腹部的扁桃体”。所以,阑尾并非传统观点认为的可有可无的器官,而是人体重要的免疫器官。随着对阑尾的深入研究,人们发现阑尾不仅具有免疫功能,更具有免疫复制和免疫再生功能。

2. 对结肠癌具有防护作用

近年也有人把阑尾切除作为结直肠癌的风险因素之一。日本研究人员对比研究了切除阑尾的实验鼠和没有切除阑尾的实验鼠,发现阑尾能向肠道提供免疫细胞,保持肠内的免疫稳态,减少结肠癌的发生风险。

3. 维持肠道菌群稳态

近期美国杜克大学研究发现,阑尾中储存了大量对人体肠道有益的细菌。当一个人因生病或其他原因导致肠道内的菌群紊乱时,阑尾就会将这些细菌贡献岀来,帮助肠道重塑健康菌群体系,维护肠道微生物的平衡。阑尾就像是为肠道菌群做了一个安全的“备份盘”,在关键时刻能够补充患病时被删除掉的肠道系统内的有益细菌,减轻人体内致病菌所造成的伤害。

特点三:美观不留疤

腹腔镜阑尾切除术虽然已较传统的开腹阑尾切除术有了很大的进步,避免了在患者腹部体表留下的长条状疤痕,但仍会有 0.5~1.0 cm 的线状疤痕。而 ERAT 完全符合患者日益提高的对美观方面的需求,体表没有任何疤痕。

图片

最后,徐宏伟主任强调“并非所有的阑尾炎都可以通过这种手术解决,需要专科医生全面评估,制定个体化治疗方案。”一般而言,ERAT术更加适用于单纯性阑尾粪石梗阻和慢性阑尾炎,而已出现穿孔引起腹腔感染或合并阑尾周围脓肿的复杂性阑尾炎,则必须实施外科手术。

昆山市中医医院脾胃肝胆科

历史回眸

脾胃肝胆科创建于1986年,当时开设有消化专科门诊,乙状结肠镜、直肠镜检查室,形成了脾胃肝胆科的雏形。1994年与心内科共同成立了内一科病房,内镜室引进电子胃镜、电子肠镜等设备,开展内镜下息肉治疗术、异物取出术、ERCP术、止血术等先进技术。2004年5月科室正式独立,先后创建了“十二五”国家临床重点专科(中医专业)、国家中医药管理局“十二五”重点专科建设单位、江苏省中医药重点学科建设单位、“十五” 国家中医药管理局中医特色专科、江苏省中医重点专科。近年来科室成功引进上海长海医院李兆申院士团队、江苏省中医院单兆伟全国名中医团队、上海第十人民医院刘占举教授团队等全国知名团队助力科室发展。

科室现状与人才梯队

科室现有专业医护人员59名,其中医师32名,护士27名。主任医师6名、副主任医师9名、中医类别执业医师23名。其中,博士3名、硕士24名、博士生导师1名、硕士生导师3名、昆山学科带头人3名。学术梯队整体实力较强,中青年学术骨干已成为教学科研的主力军。

医疗工作能力

科室年门诊量130000人次,年出院2500人次,年手术量1500例。开设普通病房、中医经典病房、脾胃病重症监护病房(PICU)、检查室、中医治疗室等。科室开设功能性胃肠病、消化道早癌及癌前病变、胆胰疾病、炎症性肠病等亚专科。门诊开设胃痛、泄泻、便秘等专病门诊。内镜中心年内镜量达30000例次,常规开展普通胃肠镜、胶囊内镜、胃肠道动力检测、ERCP、EUS—FNA、ESD、STER、POEM、小肠镜等内镜下治疗技术,年三、四级手术量达1200余例次。

科室医学流派传承源远流长,在继承孟河马氏学派的基础上融会贯通,发挥地域优势,结合昆山当地吴门医派,勇于创新,始终坚守中医特色优势,不断努力打造我院脾胃肝胆科中医的传统优势和品牌效应,并将传统医学与现代医学相结合,对脾胃肝胆疾病的诊断、治疗有着独到的心得体会,取得了显著的成效。

科室以人为本,重视人才培养和建设,每年坚持输送1-2名医务人员至国内、外知名医院进修学习,建立良好的人才梯队,优化学科建设。每年申请市级以上课题4-5项,发表论文十余篇,并参加多项全国多中心协作项目,近年来科室获批药品临床试验基地,目前已开展多项药物临床试验。

图片

来源:昆山市中医医院

本帖评分记录
小城镇 昆币 +1 -来自昆山论坛APP 2024-03-08
细味生活 昆币 +1 -来自昆山论坛APP 2024-03-08
2条评分昆币+2
爆料有奖!关注昆山论坛抖音号,抖音搜索“昆山论坛”,或搜索抖音号:ksbbs
 
快速回复
限76 字节
批量上传需要先选择文件,再选择上传
 
上一个 下一个