夜间模式
  • 11433阅读
  • 1回复

[百姓话题]金杏病例|频繁发作仍拖10余年,这个刀终于开了 [复制链接]

上一主题 下一主题
离线闭眼听风
发帖
2790
昆币
45525 枚
只看楼主 使用道具 电梯直达
楼主  发表于: 2024-03-12 , 来自:江苏省0==

FEV1 0.93/L

实测值/预测值 <45%

Pa02 63mmhg

支气管扩张伴感染

慢性支气管炎

肺气肿

肺功能处于三级最严重阶段

这样的胆囊结石患者

被疼痛断断续续困扰十多年

再次复发

图片

在很多外科医生面前

这是巨大挑战

图片

贴士

  • FEV1:是指用力呼气第一秒末所呼出的气量,简称1秒量。

  • 实测值/预测值:简称1秒率,是判断有无呼气气流阻塞及其程度的最常用肺功能指标。正常参考值为>70%。

  • PaO2:氧分压,氧分压是血浆中物理溶解的氧分子所产生的压力,动脉血压分压正常值为80-100mmHg。

权衡利弊最优解!

近日,外一科就收治了这样一位呼吸科的老病号,两个月前,老姚(化名)刚于呼吸科出院,出院诊断:支气管扩张伴感染、慢性支气管炎、肺气肿,痰培养为铜绿假单胞杆菌。

此次因胆囊结石伴胆囊炎、胆总管结石收治入院,其实患者的胆结石也是他的“老难题”了,前些年就想积极手术,奈何肺功能太差,辗转几次无果。除了手术本身的风险以外,围手术期心肺意外的风险很大,很有可能手术后气管插管拔管困难,需进ICU呼吸机支持。术后也同样存在肺不张、肺部感染、心衰等并发症。

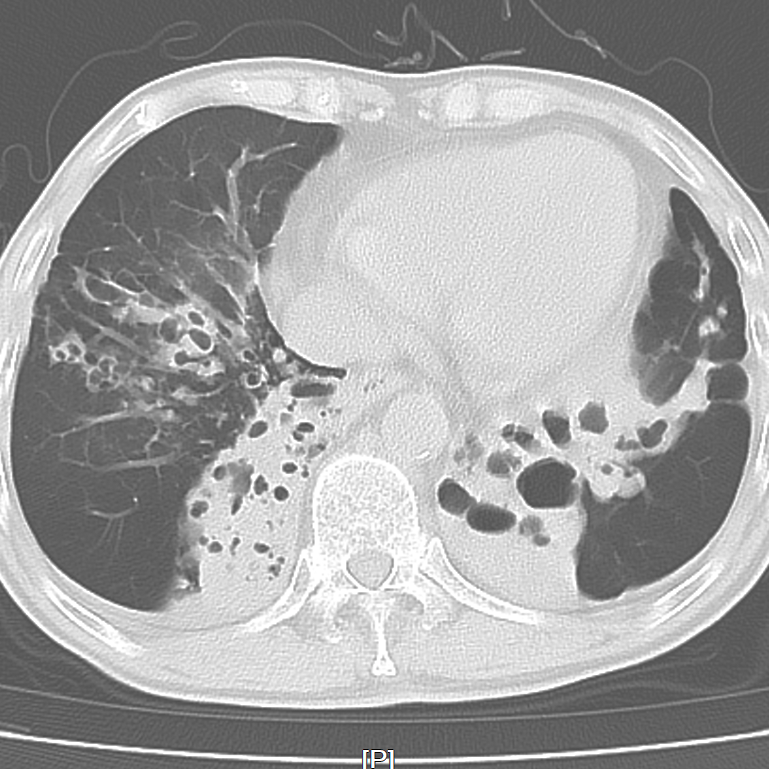
图片

▲患者肺部CT

图片

▲患者MRCP(胰胆管水成像)

每个并发症对于患者来说都是难以承受的打击。但此次腹痛,若不积极手术,胆总管结石进一步发展为化脓性胆管炎,病情则有可能会危及生命!

图片

考虑患者近阶段生活可自理,饮食正常,活动量尚可,肺部疾病相对稳定,对手术有相对禁忌。与患者的儿子交流沟通后,患方表充分理解并愿积极配合。

在完善术前准备及与麻醉科、肺病科相关科室会诊讨论后,外一科顾卯林主任团队为患者行腹腔镜下胆囊切除+胆总管切开取石+胆总管一期缝合术。

术后患者充分配合,早期下床、护理团队积极翻身拍背、体位引流促排痰。直至术后第四天的时候终于咳痰变少,患者正在慢慢康复中。

图片

肺功能差到什么程度不能手术,临床很难把握,一般将肺功能分为三级,该患者属于最重的第三级。患者因年龄增长、肺功能问题等因素使得患者病情将变得比较棘手。因此,外一科团队也在挑战极限,如同闯过刀山火海般积极应对困难!既然家人们充分信任,那么我们就要奉献出外科医生的大医精神赤子情怀,展示出外科医生的求真求实不懈追求,也体现出外科医生的使命,担当与责任。所幸老先生术后恢复非常顺利,所有的预案都没有用上。

一些关于胆石症的Tips

近年,随着人们生活水平的提高、饮食结构的改变,胆石症已成为常见病、多发病,其中胆囊结石合并胆总管结石患者占10%~15%。

原发性胆管结石成因较为复杂,以胆红素钙或胆固醇为主要成分。目前肝外胆管结石的典型症状包括右上腹部绞痛、寒战高热及黄疸,即夏科氏三联征。因胆总管结石长期存在,若处理不及时,可继发胆汁性肝硬化、胆道感染、急性胰腺炎等,甚至引起梗阻性化脓性胆管炎,导致死亡。

因此,一旦发现肝外胆管结石应积极手术治疗。过去胆总管结石多行开腹手术,虽然操作直观、术野清晰,但存在创伤大、术后机体应激反应大、并发症多等缺陷。近年,随着内镜技术的进步,内镜逆行胰胆管造影(endoscopic retrograde cholangiopancreatography, ERCP)+乳头括约肌切开+网篮取石+腹腔镜胆囊切除术(laparoscopic cholecystectomy, LC)已广泛用于临床,但有较多缺陷,如破坏十二指肠乳头功能、并发症多,复发结石等。随着腹腔镜技术的发展,胆道镜联合腹腔镜胆总管探查术(laparoscopic common bile duct exploration, LCBDE)是目前胆囊结石合并胆总管结石的主流治疗手段。腹腔镜技术由于视野放大,可有效保护腹腔微环境,减少出血量,术后创伤与应激反应更小。腹腔镜手术中根据是否放置T管,又细分为两种,即留置T管与一期缝合。一期缝合能有效减少T管引起的胆汁与电解质丢失,利于胃肠功能恢复;同时更符合人体生理结构,避免留置T管带来的不便,有效减少T管引起的胆道感染等相关并发症,更符合加速康复外科理念。

昆山市中医医院外一科

肝胆外科(外一科)与医院同步创立,1985年1月建科,起初归属于普外科,上世90年代成立肝胆微创外科,系前昆山市重点专科,全面诊治各种肝胆胰疝气及其他普通外科常见疾病和疑难危急重症,并成为本地市民的一线治疗科室。

科室始终坚持“技术为王,创新驱动”和“科技创新成就卓越外科,精致优护缔结医患真情”的发展理念,高屋建瓴,长远规划,不断累积和提升外科技术,坚持重点病种和核心技术 同频共振,良性循环。目前科室在常见病种如胆结石、胆总管结石、各种疝气、阑尾中,常规使用微创技术,而且在部分肝切除,胰体尾切除,胃肠道恶性肿瘤的根治,巨脾切除中,广泛使用腹腔镜技术,全面开花结果。在肝胆胰复杂疑难病种方面,如门高症断流, 规则性半肝切除,胰十二指肠切除(PD)等手术均全面开展。

图片
来源:昆山市中医医院

本帖评分记录
潘帅帅 昆币 +1 -来自昆山论坛APP 2024-03-13
高维豪 昆币 +1 -来自昆山论坛APP 2024-03-12
2条评分昆币+2
爆料有奖!关注昆山论坛抖音号,抖音搜索“昆山论坛”,或搜索抖音号:ksbbs
 
帅哥离线新时代养蜂人
发帖
10202
昆币
12107 枚
沙发  发表于: 2024-03-13 , 来自:江苏省0==
爆料有奖!关注昆山论坛抖音号,抖音搜索“昆山论坛”,或搜索抖音号:ksbbs
 
快速回复
限76 字节
如果您在写长篇帖子又不马上发表,建议存为草稿
 
上一个 下一个