夜间模式
  • 17007阅读
  • 1回复

[昆山要闻]“颈粗如牛”险些丧命!昆山中医院多科协作力挽狂澜,这种感染千万要重视 [复制链接]

上一主题 下一主题
发帖
2847
昆币
95893 枚
只看楼主 使用道具 电梯直达
楼主  发表于: 2024-03-25 , 来自:江苏省0==

颈深部脓肿

颈深筋膜受细菌感染入侵后

局部筋膜和软组织

在细菌和炎性细胞所释放的

毒素或蛋白酶作用下

发生坏死、溶解、液化

最终形成颈深间隙脓肿的疾病

根据O'Brien等报道

其发病率为0.09‰~0.15‰

多见于男性、免疫功能低下

合并糖尿病等基础性疾病的患者

而其中最凶险的路德维希咽峡炎,它是指厌氧、腐败坏死性细菌为主引起的弥漫性口底蜂窝织炎,多由免疫力低下者的牙源性感染引起。

该病发展迅速,可短期内波及颈上部、颌下及口底多个间隙,导致患者吞咽、语音功能障碍,可引起双舌症和严重气道阻塞;感染严重者可导致大量毒素和细菌入血,形成菌血症、败血症和脓毒血症,甚至引起患者死亡。由于该病起病急,进展迅速,位置隐匿,容易出现严重并发症,并发下行性纵隔炎时病死率高达40%~76%。

生命垂危·“颈粗如牛”!

近日,在急诊就接诊了这么一位患者。患者为中年男性,左侧下牙缺失十余年,口腔内其余牙齿均不同程度龋坏,平时经常发作牙疼,自行购买“英太青”胶囊口服,从未正规检查治疗。

在发病四天前自觉咽喉不适,在当地医院输液未见好转,发病前一天晚稍有呼吸不畅感,仍未当回事,第二天在急诊输液时患者出现呼吸困难、胸闷加重送至抢救室。

至抢救室时,患者神志尚清,心率135次/分,血压161/94mmHg,指脉氧86%,颈粗如牛,局部红肿明显,尤其是左侧,触之如皮球感,压之有弹性,局部皮温升高,伴有剧烈疼痛,呼吸困难,手足湿冷,大汗淋漓。

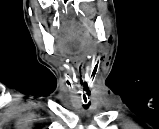
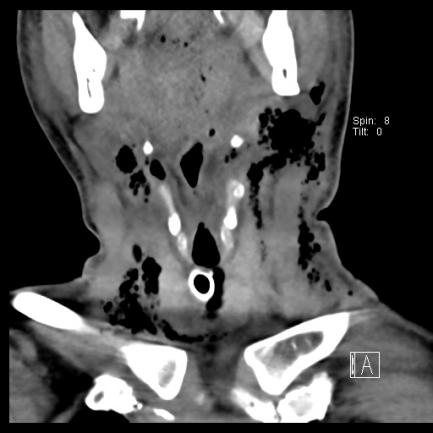
抢救室值班医师当机立断请耳鼻喉科急会诊,此时急诊检查结果回报:血常规:WBC(白细胞计数) 17.9*10^9/L;CT示纵隔、颈部及颌下软组织内积气影。

图片
图片

▲治疗前颈部(冠状位),胸部(轴位)

耳鼻喉科蒋锐主任会诊后考虑口腔颌面、颈部、纵隔多发感染导致的喉梗阻及感染性休克,局部穿刺得脓后更明确了诊断。

此病发展迅速,随时可能出现呼吸困难及窒息可能,与家属充分沟通后蒋锐主任立刻与王秀敏、袁硕及陆荣锦医师紧急行局麻下气管切开术,以开放气道、维持生命体征。

图片

患者此时颈部已经大量积气积脓,气管受压迫,划开皮肤后大量黄色恶臭的脓性分泌物涌出,脓液流出后患者诉通气稍感缓解。

但考虑此病凶险,发展极快,随时可能因炎症引起喉部水肿导致窒息,仍需继续行气管切开,此时颈前软组织因炎症已经增厚到正常的4-5倍,气管被挤压在炎症的软组织、脓液和颈椎之间,因炎症导致颈部小血管扩张,甲状腺肿大,术野出血,气管切开难度极大,但耳鼻咽喉科团队排除万难,与抢救室同事充分合作,终于顺利将患者气管切开,打开了生命通道。

图片
图片

与此同时医务处接到此病情汇报后,郭小晶处长第一时间组织院外专家进行会诊,上海市第一人民医院耳鼻咽喉科和胸外科的专家迅速赶到,立即对患者进行了“颈部探查脓肿切开引流术+胸腔镜下纵隔切开脓肿清除术”。

图片

术中通过游离脓腔、切除坏死组织引流出大量脓液,并于颈部及胸部共置入7根引流管,手术顺利,术后转入ICU进一步治疗。



转入ICU时处于严重感染性休克状态,需要大剂量升血压药维持血压。ICU李红鹏主任团队根据患者病情病因,立即予经验性抗感染,肺保护通气,血液净化清除炎症因子,气管镜清除分泌物等综合治疗措施。

转入后第二天,患者肺泡灌洗液二代基因测序回报:咽峡炎链球菌。

咽峡炎链球菌是口腔及上呼吸道常见的条件致病菌。根据病原学结果,ICU团队给予了针对性的抗感染治疗措施,并每日进行引流管的抗生素冲洗。

经过十七天的治疗,医护人员与死神来回拉锯,患者的颌面部、颈部红肿、疼痛以及肺部感染等症状明显缓解,体温恢复正常,逐渐脱离呼吸机。目前,患者已转入普通病房,拔除全身引流管,可下床活动,全身状况好转。

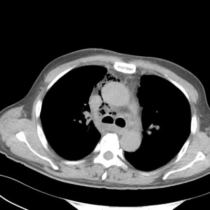
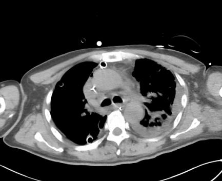
图片
图片

▲治疗第5天颈部(冠状位),胸部(轴位)

蒋锐主任特别提醒

颈深部感染最初症状表现为一处的感染,若未能得到及时控制易扩散,形成颈深部多间隙感染或脓肿若向下扩散,易引起纵隔感染或脓胸,导致患者出现憋气、呼吸困难等症状;若感染坏死物吸收则易引发脓毒血症,从而引发一系列并发症。

该疾病并发症发展迅猛,严重时可危及患者生命。特别提醒大家,有咽喉部位剧烈疼痛,吞咽困难等症状,需及早治疗,避免病情恶化。同时,也请不要在没有任何医学知识的情况下,对症状进行自我诊断或治疗,以免延误病情。

昆山市中医医院耳鼻喉科

历史回眸

耳鼻喉科成立于*****,是昆山地区最早创建的科室之一,经过多年发展和努力,已经成为了能够运用中西医结合治疗耳鼻喉科常见病及各类疑难杂症并能开展耳鼻喉科多类专科手术的特色专科。

科室现状与人才梯队

科室现有医师12名,副主任医师4名,主治医师4名,住院医师4名,其中硕士5名。中、西医人才齐聚,以中青年骨干医生为主,临床实践能力及科研能力较强。

医疗工作能力

科室门诊量突破73000人次,年出院病人300余例,其中手术人次300例。我科拥有耳鼻咽喉科多种检查和治疗设备,引进耳鼻喉内窥镜、电子鼻咽喉镜、耳鼻喉科动力系统、低温等离子手术系统、*耳*能分析仪、耳石复位仪、脑干诱发电位仪、手术导航系统等高精尖仪器,并设有过敏性鼻炎、中耳炎专科门诊。拥有科室自制产品:咽炎冲剂,五味冲剂,鼻炎冲剂,鼻止血冲剂,爽声冲剂等,传承发扬中医特色,临床疗效颇佳。

多年以来,科室应用中西医结合的特色疗法手段,对耳鼻咽喉各类疾病,因人而异、辨证施治、标本兼治的原则,成功治愈众多耳鼻咽喉疾病患者。同时可以开展三级甲等综合性医院的各种手术,如扁桃体、腺样体手术,各种疑难复杂的功能性鼻内窥镜手术,腭咽成形术等鼾症治疗手术,中耳炎的根治术、鼓室成形术以及头颈部的各种良恶性肿瘤手术等。

近五年来全科发表包括SCI、国内各种核心期刊在内的论文共20余篇。2014--2019获昆山卫生局新技术项目一等奖一项,三等奖三项,优秀论文奖二项。主持完成昆山市级科研课题两项,在研苏州市级科研课题一项,昆山市级科研课题两项。

图片

来源:昆山市中医医院

本帖评分记录
不再缄默 昆币 +1 -来自昆山论坛APP 2024-03-26
高维豪 昆币 +1 -来自昆山论坛APP 2024-03-25
2条评分昆币+2
爆料有奖!关注昆山论坛抖音号,抖音搜索“昆山论坛”,或搜索抖音号:ksbbs
 
帅哥离线新时代养蜂人
发帖
10201
昆币
12106 枚
沙发  发表于: 2024-03-26 , 来自:江苏省0==
爆料有奖!关注昆山论坛抖音号,抖音搜索“昆山论坛”,或搜索抖音号:ksbbs
 
快速回复
限76 字节
批量上传需要先选择文件,再选择上传
 
上一个 下一个