夜间模式
  • 13258阅读
  • 2回复

[百姓话题]昆山中医院超声探查见“真凶”——慢性主动脉夹层 [复制链接]

上一主题 下一主题
美女离线你听我说
发帖
3744
昆币
129469 枚
只看楼主 使用道具 电梯直达
楼主  发表于: 2024-04-02 , 来自:江苏省0==

“喂,急诊超声吗?”

“抢救室有一个心衰的患者

需要做一个床边心超。”

正在值夜班的超声科陈泉医生接到抢救室电话后立刻推着床边超声仪赶到了抢救室。

患者刚产后不久,突发胸闷被送至市中医医院急诊抢救室:

呼吸费力、急促

两肺湿罗音

指脉氧60%左右

血压183/84mmHg,心率150!

LVEF:38%(心脏左室射血分数)

临床初步考虑心衰合并急性肺水肿

超声探查见“真凶”

陈泉医生在行床旁心超检查时发现患者心脏明显扩大,心功能非常差,主动脉根部呈瘤样扩张并伴有中-重度的主动脉瓣反流。

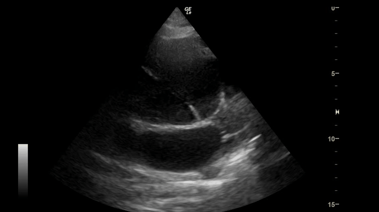
患者由于呼吸急促只能半卧位检查加上肺部气体干扰,升主动脉显示不清晰,在多切面仔细扫查下陈泉医师在高位胸骨旁切面发现主动脉内有一个隔膜样的结构,初步怀疑患者有主动脉夹层可能。

图片

▲床旁心超主动脉发现异常隔膜(箭头所指)

但患者发病后并未有明显的胸痛表现,家属自诉患者产前曾在外院心超检查就曾发现主动脉内有异常的分隔,主动脉瓣有轻度反流。但由于产妇没有明显症状,故没有进一步治疗直至产后。

尽管患者临床症状和病史不太支持夹层,但根据多年的工作经验陈泉医生还是坚持给出了主动脉夹层的诊断,并且考虑是夹层累及了主动脉瓣,从而导致主动脉瓣反流的加剧。

图片

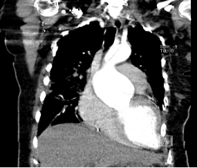
随后急诊医师对患者进行了CTA检查,结果CTA证实患者是主动脉A型夹层,后经及时抢救患者目前已成功手术。

图片

▲CTA:主动脉A型夹层

那么问题来了

胸痛不明显也是夹层?夹层会持续数月?

主动脉夹层是由各种原因导致的主动脉内膜出现破口,主动脉壁中层内膜的裂开,血液进入中膜层,内膜与中膜分离形成真、假两腔。

DeBakey分型将主动脉夹层分为三型

I型:主动脉夹层起源于升主动脉并累及降主动脉;

II型:主动脉夹层局限于升主动脉;

III型:主动脉夹层起源于胸降主动脉,向下未累及腹主动脉者称为IIIa,累及腹主动脉者称为IIIb。

Stanford分型分为A型和B型

A型为累及升主动脉的夹层,相当于DeBakey I型和II型。

B型局限于降主动脉或累及腹主动脉,相当于DeBakey III型。

主动脉夹层起病急、病死率高,特别是A型夹层,发生后每小时死亡率增加1%。一周内死亡率高达80%。

图片

主动脉夹层根据发病时间一般分为急性、亚急性、慢性主动脉夹层。急性主动脉夹层起病时间<2周;亚急性主动脉夹层起病时间2周-2月以内;慢性主动脉夹层起病时间>2月。

疼痛是急性主动脉夹层首发的最常见症状,其特征性是突发性剧烈的刀割样、撕裂样疼痛,呈持续性、难以缓解。急性期90%的病人有胸痛,转移性疼痛高度提示主动脉夹层。根据典型临床表现往往不易漏诊。而慢性主动脉夹层通常无明显胸痛或腹痛症状,常容易漏诊和误诊。主要临床征象为主动脉的扩张。扩张的主动脉压迫邻近组织可有声音嘶哑、吞咽困难、霍纳氏综合征、反复发生的肺炎。该患者发病时间长,临床症状不典型,故产前未能及时发现。

超声具有便携性好、普及率高等优势,可用于主动脉夹层的初步检查。其诊断主动脉夹层的主要征象为发现主动脉内随心动周期摆动的隔膜回声,并可同时评估患者的心功能、主动脉瓣情况。但经胸超声穿透力低,易受肺部气体干扰,超声并不一定都能发现主动脉内撕脱的内膜,因此对于有主动脉夹层高危因素且超声提示主动脉瘤样扩张的病人即使临床症状不典型,也因考虑到此病并行CTA检查进一步明确诊断。

超声科陈泉医师提醒

对于具有主动脉夹层高危因素的患者,日常生活中要注意:

控制血压

要时刻关注血压情况,控制血压在正常范围,每日规律地服用降压药物;如果血压得不到有效控制,建议遵从医嘱进行科学的降压方案,同时也要做好居家血压监测。

严格戒烟

香烟中的尼古丁会导致动脉硬化,因此具有夹层高位因素的患者应立即进行戒烟;如果自制力较差,也可至医院的戒烟门诊进行咨询,进行辅助戒烟。

加强锻炼

肥胖是导致多种心血管疾病的高危因素,体重较大的人群,可通过增加运动、控制饮食等方案减肥;如果自己找不到正确的减肥方法,或者锻炼有困难,也可至内分泌科门诊、临床营养科、针灸科接受相应的药物治疗、饮食调控、埋线治疗等。

定期复查

对于接受了手术治疗的主动脉夹层患者,一定要进行定期复查,改变以往不良的生活习惯,同时血压和心率的控制也至关重要,不容忽视。通过降低血压,降低心率,来减轻血流波动波对主动脉壁的冲击,可以有效的预防主动脉夹层的发生、破裂,以及手术后复发。

定期检查

中老年群体,这个年龄段开始出现一些常见的疾病,所以每年要定期进行全面检查。可以做一次血管常规彩超,检查是否有斑块形成,以便了解自身身体状况,及时治疗。

最后,很多血管病发病非常急,一旦有症状或不舒服的情况,要尽快地就医。

中医献温馨·健康进万家


图片
图片

陈 泉

超声科 副主任医师


图片

个人介绍

昆山市医学会超声医学专业委员会青年委员会 副主任委员,昆山市中医医院超声科教学秘书。从事超声诊断工作10余年,曾在北京安贞医院进修成人、小儿及胎儿心脏超声。

擅长腹部、浅表器官及心血管等超声检查。

图片
图片
图片


昆山市中医医院超声科

历史回眸

超声科始创于1986年,是昆山地区较早开展超声诊断的医疗机构之一。科室由最初一台黑白超一个医生起步,随着超声技术的快速发展,应用范围不断拓展,经过30多年的努力,超声科已经发展成一个拥有50多名医护技人员的独立科室。医疗质量持续改进,技术水平不断提升,目前科室能全面开展超声各类技术,并率先在市内开展多项新技术新项目,在超声诊断、教学、科研方面均处于市内先进水平,成为昆山市重点学专科。

科室现状与人才梯队

超声科现有医护技56名,其中超声医师30名,其中主任医师3名,副主任医师11名,主治医师10名,住院医师6名,护师2名。拥有世界先进超声诊断仪二十多台,多年来选派多名医生赴北京阜外医院、北京***总院、北京安贞医院、上海六院、上海中山医院、上海妇产科医院、上海长征医院、上海长海医院、上海儿童医学中心等全国知名医院进修深造,以中青年骨干为主,具有较强的临床实践及科教研能力。

医疗工作能力

超声科本着以人为本,一切以病人为中心的宗旨,向全社会开展全方位的超声检查,提供优质的医疗服务,开展的超声项目齐全。目前本科可进行心超、腹超、浅表小器官超声、腔内超声(经**超声、经直肠超声)、颅脑超声、血管超声、盆底超声、肌骨超声、全容积乳腺超声、三维输卵管超声造影、经食道超声、右心声学造影、超声引导下多项介入性超声等,达到了超声诊断与治疗的统一。

1、心脏及四肢血管超声诊断

包括先天性心脏病、风心病、冠心病、心肌病、动脉闭塞性病变及血栓栓塞性病变的诊断。

2、腹部、小器官超声诊断

包括消化系统如肝、胆、胰、脾病变;泌尿生殖系统如肾、膀胱、输尿管、前列腺、精囊腺、睾丸病变;小器官如甲状腺、乳腺、局部皮肤、肌肉组织病变的诊断。

3、 妇产科超声诊断

包括子宫、输卵管、卵巢病变经腹及经**超声、胎儿畸形筛查及发育情况评估,及女性三维盆底超声、输卵管超声造影等。

4、介入超声

肝肾病变穿刺活检、囊(脓)肿抽洗加腔内药物注射治疗、置管引流、超声(肝脏、心脏、输卵管等)造影、超声引导下甲状腺细针穿刺术、前列腺穿刺活检术等。

5、特色超声

自动全容积乳腺超声:通过自动扫描来获得乳腺的全容积图像,可以多层面、多角度显示病变,使得病灶的成像更加立体、直观。其独特的冠状面图像对乳腺恶性疾病病灶的特征性表现有较大优势,提高了诊断的准确性,可以用于乳腺肿块的良恶性鉴别、乳腺癌术前评估、术后随访以及高危人群的乳腺筛查等。

不孕症一站式超声:通过二维超声、实时三维超声、超声造影等先进技术,对女性不孕症患者的子宫形态、宫腔病变、输卵管通畅性及卵巢疾病等、男性睾丸、附睾、精囊、输精管等病变进行全面、准确的评估。

肌骨神经超声检查:可进行肩部、肘部、手腕部、膝部、足踝部、肌肉肌腱、神经等超声检查,观察不同关节或肌肉、肌腱、神经的细微结构,同时还能够对肌肉、肌腱的运动进行实时动态观察,相比传统的检查方法,如X线、CT、MRI(核磁共振)等,肌骨超声具有无创、无辐射、无禁忌症、可以动态实时观察等诸多优势。

颅脑TCS检查:通过颞窗获取中脑、丘脑等深部组织结构信息,对脑黑质超声检查技术已被欧美国家认为是帕金森(PD)影像学诊断的一个“生物标志物”,可用于诊断及鉴别诊断运动障碍性疾病,为帕金森患者的诊治带来了福音。

盆底超声:通过二维、三维超声检查,诊断女性盆底功能障碍性疾病。如子宫脱垂、膀胱膨出、直肠膨出、肛提肌或肛门括约肌损伤等盆底疾病,以及尿**、粪**以及便秘、盆腔慢性疼痛、盆底修复术前、术后以及植入材料评估、产后42天进行盆底功能障碍早期筛查等。

图片


来源:昆山市中医医院

本帖评分记录
catandbear 昆币 +1 -来自昆山论坛APP 2024-04-04
天蓝晴幂 昆币 +1 -来自昆山论坛APP 2024-04-03
人生漫步 昆币 +1 -来自昆山论坛APP 2024-04-03
秤坏了 昆币 +1 -来自昆山论坛APP 2024-04-03
华珏 昆币 +1 -来自昆山论坛APP 2024-04-03
goodboydzz 昆币 +1 -来自昆山论坛APP 2024-04-03
高维豪 昆币 +1 -来自昆山论坛APP 2024-04-02
7条评分昆币+7
爆料有奖!关注昆山论坛抖音号,抖音搜索“昆山论坛”,或搜索抖音号:ksbbs
 
帅哥离线xcv风景如画
级别: 昆山过客
发帖
38
昆币
80 枚
沙发  发表于: 2024-04-03 , 来自:未知0==
这种疾病昆山能做手术?
爆料有奖!关注昆山论坛抖音号,抖音搜索“昆山论坛”,或搜索抖音号:ksbbs
 
帅哥离线新时代养蜂人
发帖
10201
昆币
12106 枚
板凳  发表于: 2024-04-03 , 来自:江苏省0==
爆料有奖!关注昆山论坛抖音号,抖音搜索“昆山论坛”,或搜索抖音号:ksbbs
 
快速回复
限76 字节
如果您在写长篇帖子又不马上发表,建议存为草稿
 
上一个 下一个