夜间模式
  • 21993阅读
  • 4回复

[百姓话题]惊险!百岁老人鱼刺穿肠险些要命……这些事不要在做了 [复制链接]

上一主题 下一主题
发帖
2847
昆币
95893 枚
只看楼主 使用道具 电梯直达
楼主  发表于: 2024-04-16 , 来自:江苏省0==
图片



图片


中国自古就有“无鱼不成宴无酒不成席”的说法,鱼作为饭桌上出镜率最高的食物之一,足以证明其有多受百姓的喜爱。鱼有多惹人喜,刺就有多让人恼火。每当你狼吞虎咽之时,突然喉间的异物感袭来,一根细小的鱼刺划过喉咙,这时一切都晚了。有的人咽不下去也吐不出来,更有的人选择继续吃饭喝水直吞,误入鱼刺如果处理不当十分危险,严重者可危及生命……

图片

前段时间,98岁的冯奶奶因为误吞了一根鱼刺,付出了惨重的代价,险些丢命!情况为何如此严重?

图片




图片
图片

百岁老人鱼刺穿肠险些要命!

图片




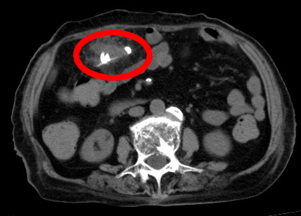
家住花桥镇的冯奶奶,今年98岁,肚子疼得厉害伴有发热,至当地医院就诊,腹部CT考虑腹腔脓肿,腹腔异物;在当地医院行腹腔脓肿穿刺引流术,症状好转,但腹痛伴发热仍反复发作。

于是便来到了昆山市中医医院外一科就诊。顾卯林主任团队接诊了冯奶奶,认为患者年龄较大,手术风险较高,但如果保守治疗,患者腹腔异物很难排出,症状反复发作,出现感染性休克同样威胁老人生命。

图片

情况危急,由于肠穿孔时间较久,已经并发了严重的腹腔脓肿,征求了患者同意后,昆山市中医医院外一科顾卯林团队立刻与麻醉科为冯奶奶确定了手术方案——开腹探查+结肠修补术。

图片
图片


层层剥茧, 终于,一根扎穿破横结肠的鱼刺暴露出来,仔细取出鱼刺后,吸尽腹腔内的脓液,又彻底冲洗腹腔,并行结肠修补术。术后冯奶奶安全度过了感染关、伤口愈合关,十天后顺利出院。

图片





图片

鱼刺卡喉,千万别用这些“土办法了”

图片




只要鱼刺卡喉

无论喝醋吞饭

都不行!

大口吞咽米饭或者馒头

吃鱼的时候一不小心被鱼刺卡住喉咙,有人想着大口吞咽米饭或者馒头等,试图把鱼刺强行咽下去,这种方法是不对的,容易让鱼刺越扎越深,或者导致鱼刺卡在食道或者肠胃,进而增加了取出的难度,甚至还可能会刺伤食管、血管等部位。

喝醋软化鱼刺

喝醋软化鱼刺,醋的主要成分是醋酸,醋酸的确有软化钙质的效果。但是普通的食用醋中含有的醋酸大约在3%左右,并且喝醋时,醋在咽喉停留的时间较短,较难起到软化鱼刺的作用。有研究发现,要把鱼骨泡在2%的醋酸里60分钟,再在120℃下加热60分钟,才能达到较好的骨软化效果。

图片





图片

万一被“卡”了,如何正确处理?





立即停止进食

不管是鱼刺还是其他异物,一旦有被“卡”住的感觉,应该立即停止进餐,水也不要喝,避免异物对食管和肠胃造成二次伤害。

张开嘴自检

利用镜子、手电筒、镊子等工具,张开嘴检查目之所及的部位,特别是扁桃体周围,一般肉眼可见的异物可以使用镊子、筷子等工具夹出,但若阻滞感明显,千万不能用力,尽快到医院解决。




当异物堵塞气道发生在我们身边

第一时间应该做什么?






01 第一时间拨打急救电话

第一时间应该拨打急救电话,再给患者实施海姆立克急救法。

第一,不能保证哈姆立克急救法一定能够达到预想的效果,也就是解除患者的气道梗阻

第二,手法不当有可能对患者造成损伤,即便异物已经排除,也需要到专业的医院排查是否出现并发症。

02 一岁以上宝宝及成人

第一步:我们要立刻站到患者的身后,一条腿放到患者两腿之间,弓步站立,环抱住患者。

第二步:牢记这个口诀“剪刀、石头、布”剪刀一手取患者肚脐眼上两指的位置石头另一手握拳顶在两指上布抽出两指的手,用布包住握拳的手。

图片

第三步:快速向后上方冲击5次可重复以上动作,直到患者把异物咳出。

03 一岁下的宝宝

对于一岁以下的宝宝,家长需要找地方坐下或者弓步跪地。

第一步:让孩子面朝下骑跨在手臂上,用手托住下颌。

第二步:另一只手的手掌向下、向前快速拍击后背肩胛骨根部5次。

第三步:将孩子翻转过来,依旧保持头低脚高,检查异物是否从口腔内排除。

如果没有,就立即用中指和食指连续按压两乳头连线中心5次,每次按压深度4cm左右。反复以上操作。




图片


图片


图片

昆山市中医医院外一科

图片




肝胆外科(外一科)与医院同步创立,1985年1月建科,起初归属于普外科,上世90年代成立肝胆微创外科,系前昆山市重点专科,全面诊治各种肝胆胰疝气及其他普通外科常见疾病和疑难危急重症,并成为本地市民的一线治疗科室。

科室始终坚持“技术为王,创新驱动”和“科技创新成就卓越外科,精致优护缔结医患真情”的发展理念,高屋建瓴,长远规划,不断累积和提升外科技术,坚持重点病种和核心技术 同频共振,良性循环。目前科室在常见病种如胆结石、胆总管结石、各种疝气、阑尾中,常规使用微创技术,而且在部分肝切除,胰体尾切除,胃肠道恶性肿瘤的根治,巨脾切除中,广泛使用腹腔镜技术,全面开花结果。在肝胆胰复杂疑难病种方面,如门高症断流, 规则性半肝切除,胰十二指肠切除(PD)等手术均全面开展。

图片




来源:昆山市中医医院
本帖评分记录
金新 昆币 +1 -来自昆山论坛APP 2024-04-17
1条评分昆币+1
爆料有奖!关注昆山论坛抖音号,抖音搜索“昆山论坛”,或搜索抖音号:ksbbs
 
帅哥离线野猫问道
级别: 昆山新人
发帖
205
昆币
313 枚
沙发  发表于: 2024-04-16 , 来自:江苏省0==
刚吃鲍鱼,卡到喉咙才发现有鱼刺,混着饭一起咽下去了,来不及停下来
楼中楼
  • 2024-04-17 11:06 空中的落叶: 你吃的不是鲍鱼,而是爆鱼。
爆料有奖!关注昆山论坛抖音号,抖音搜索“昆山论坛”,或搜索抖音号:ksbbs
 
帅哥离线蒸蒸日上
发帖
1386
昆币
5479 枚
板凳  发表于: 2024-04-16 , 来自:江苏省0==
鲍鱼没有鱼刺你吃的是爆鱼
爆料有奖!关注昆山论坛抖音号,抖音搜索“昆山论坛”,或搜索抖音号:ksbbs
 
帅哥在线leosp
级别: 昆山名人

发帖
24800
昆币
25370 枚
地板  发表于: 2024-04-17 , 来自:江苏省0==
百岁鱼的由来是吧
爆料有奖!关注昆山论坛抖音号,抖音搜索“昆山论坛”,或搜索抖音号:ksbbs
 
在线hjx2266
发帖
1974
昆币
4857 枚
4楼 发表于: 2024-04-17 , 来自:江苏省0==
楼上要笑死我啊
爆料有奖!关注昆山论坛抖音号,抖音搜索“昆山论坛”,或搜索抖音号:ksbbs
 
快速回复
限76 字节
批量上传需要先选择文件,再选择上传
 
上一个 下一个