夜间模式
  • 16170阅读
  • 1回复

[昆山要闻]昆山市一医院介入栓塞联合无水酒精消融,让肿瘤“无处遁形” [复制链接]

上一主题 下一主题
发帖
2848
昆币
95897 枚
只看楼主 使用道具 电梯直达
楼主  发表于: 2024-09-05 , 来自:江苏省0==

近日,昆山市一医院介入治疗科通过经动脉介入栓塞术联合无水酒精消融成功诊治一位肝恶性肿瘤复发患者,并取得了满意疗效。

王先先(化名),49岁

2018年检查发现肝恶性肿瘤

行手术治疗

2019年复查发现肝内肿瘤复发

后在外院共行5次介入治疗

近2年复查均提示肝内病灶控制良好

但1周前患者复查发现

肝脏内又出现了新的肿瘤病灶

来到昆山市一医院介入治疗科进一步就诊

介入治疗科主任王万胜团队

发现本次复发肿瘤病灶位于肝尾状叶

其位置位于腹腔深部

且后方为腹主动脉这一人体重要血管

手术难度较大,经过团队详细讨论

决定为王先生先行动脉介入化疗栓塞

治疗病灶的同时标记病灶

再行经皮穿刺无水酒精消融彻底毁损病灶

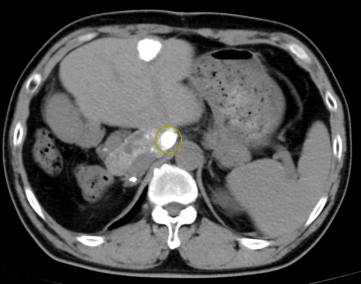
图片

肝尾状叶肿瘤病灶


手术过程:

01

第一步:

动脉化疗栓塞术,该手术在局麻下仅在大腿根部通过米粒大小的伤口,经动脉进入介入导管,并通过DSA直视下将导管精准选择至肝脏肿瘤供血血管,通过导管局部灌注化疗药物及碘化油栓塞药物,达到精准****的效果。

图片

介入术中显示的肿瘤血管及肿瘤病灶

02

第二步:

接受动脉化疗栓塞术后复查CT提示肿瘤病灶内碘化油沉积良好,为进一步行无水酒精消融治疗创造了条件,可在CT引导下行经皮穿刺无水酒精消融治疗

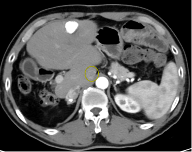
图片

介入栓塞后肿瘤病灶内碘化油沉积

无水酒精消融术是在CT引导下,局麻后经皮穿刺进入一根细针,将针准确插入肝内肿瘤病灶中,并通过该针打入无水酒精。无水酒精进入肿瘤病灶后,使得肿瘤发生凝固性坏死,进而达到“毁损”肿瘤的目的。

图片

图为无水酒精消融穿刺针

图片

图为术中经过穿刺针注入无水酒精治疗过程

图片

图为术中精准将消融针穿刺进入肿瘤病灶并注射无水酒精

通过动脉化疗栓塞以及经皮穿刺无水酒精消融联合介入微创治疗方式,对肝内复发的肿瘤病灶进行精准治疗,王先生在术后3个月的随访过程中提示该肿瘤病灶已完全“灭活”,仅在身上通过两个小针眼,达到了不开刀彻底毁损肿瘤病灶的效果。

昆山市一医院介入治疗科已常规开展针对肝胆胰肿瘤的介入微创手术治疗,介入治疗的特点是精准、微创、安全。针对部分不能外科手术切除、无法耐受手术或术后复发的肿瘤患者,介入治疗可以满足这部分患者的医疗需求,为广大百姓的身体健康保驾护航。


来源:昆山市第一人民医院

本帖评分记录
不再缄默 昆币 +1 -来自昆山论坛APP 2024-09-06
高维豪 昆币 +1 -来自昆山论坛APP 2024-09-05
2条评分昆币+2
爆料有奖!关注昆山论坛抖音号,抖音搜索“昆山论坛”,或搜索抖音号:ksbbs
 
帅哥离线新时代养蜂人
发帖
10202
昆币
12107 枚
沙发  发表于: 2024-09-06 , 来自:江苏省0==
天天吹!
爆料有奖!关注昆山论坛抖音号,抖音搜索“昆山论坛”,或搜索抖音号:ksbbs
 
快速回复
限76 字节
批量上传需要先选择文件,再选择上传
 
上一个 下一个