夜间模式
  • 13852阅读
  • 4回复

[百姓话题]昆山市一医院脊柱外科两个小孔治疗“颈椎病” [复制链接]

上一主题 下一主题
离线曲漾
发帖
2771
昆币
48286 枚
只看楼主 使用道具 电梯直达
楼主  发表于: 01-10 , 来自:江苏省0==

近日,王先生(化名)

早上起床后突感

右侧肩背部及右上肢疼痛

休息后未见明显缓解

来昆山市一医院脊柱外科就诊

磁共振检查发现颈椎间盘脱出

诊断神经根型颈椎病

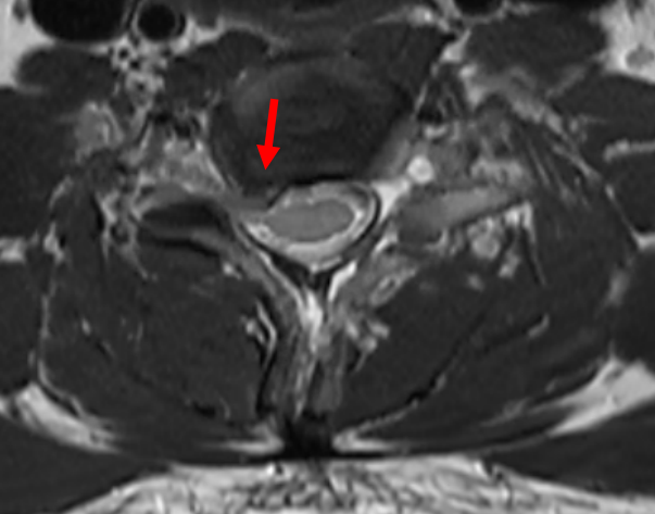
图片

红色箭头:颈椎间盘突出,

颈肩、上肢疼痛的“罪魁祸首”


通过口服药物、使用物理治疗等

规律保守治疗后症状没有明显缓解

为了缓解疼痛症状

王先生再次来到脊柱外科就诊

黄伟主任医师建议王先生

可以通过颈椎微创手术

来缓解疼痛症状

王先生起初有些顾虑

经过黄伟的耐心讲解

王先生同意手术


经脊柱外科主任尹毅及多学科团队讨论

决定采用单侧双通道脊柱内镜(UBE)技术

进行手术治疗

手术过程顺利

术后第一天王先生感觉右侧肩背部

及右上肢疼痛得到明显缓解

目前林先生已康复出院


图片

科主任尹毅及黄伟主任医师

正进行颈椎UBE手术治疗


脊柱外科主任尹毅介绍:

UBE技术是近年来的脊柱微创技术之一,该技术巧妙地结合了传统开放手术和显微内镜手术的优点,通过建立双通道(即一个通道用来“看”,另一个通道用来“做”),手术完全可视化,双通道操作更灵活、更简便、更安全。与单通道的椎间孔镜技术相比,UBE更加适用于复杂椎间盘突出、椎管狭窄等病例的内镜微创治疗,是目前脊柱外科适应症最为广泛的微创治疗技术。

神经根型颈椎病是脊柱外科的常见病与多发病,主要表现为颈肩部疼痛,上肢疼痛、麻木、乏力等,严重影响人们的生活质量。UBE手术靠两个微小切口就能完成,手术在内镜直视下操作,是目前治疗神经根型颈椎病的微创手术方式之一。

图片


来源:昆山市第一人民医院

本帖评分记录
123abc交通 昆币 +1 -来自昆山论坛APP 01-11
不再缄默 昆币 +1 -来自昆山论坛APP 01-11
高维豪 昆币 +1 -来自昆山论坛APP 01-10
鱼走海哭 昆币 +1 -来自昆山论坛APP 01-10
4条评分昆币+4
爆料有奖!关注昆山论坛抖音号,抖音搜索“昆山论坛”,或搜索抖音号:ksbbs
 
帅哥离线梦在苏城
发帖
4623
昆币
336 枚
沙发  发表于: 01-10 , 来自:江苏省0==
这种情况应该直接去上海!
爆料有奖!关注昆山论坛抖音号,抖音搜索“昆山论坛”,或搜索抖音号:ksbbs
 
帅哥离线毛毛1234577
发帖
10490
昆币
18703 枚
板凳  发表于: 01-11 , 来自:江苏省0==
朋友去上海做的,我也有腰椎突出,现在开始去游泳了,希望能改变真的怕去手术
爆料有奖!关注昆山论坛抖音号,抖音搜索“昆山论坛”,或搜索抖音号:ksbbs
 
离线jhhuang
发帖
1981
昆币
1879 枚
地板  发表于: 01-11 , 来自:江苏省0==
颈椎病确实生不如死,痛苦的很。
爆料有奖!关注昆山论坛抖音号,抖音搜索“昆山论坛”,或搜索抖音号:ksbbs
 
帅哥离线mygod
发帖
5901
昆币
18785 枚
4楼 发表于: 01-11 , 来自:江苏省0==
回 梦在苏城 的帖子
梦在苏城:这种情况应该直接去上海! (2025-01-10 20:03)

人家就不给你开转院证
爆料有奖!关注昆山论坛抖音号,抖音搜索“昆山论坛”,或搜索抖音号:ksbbs
 
快速回复
限76 字节
如果您在写长篇帖子又不马上发表,建议存为草稿
 
上一个 下一个