夜间模式
  • 16206阅读
  • 6回复

[百姓话题]体检发现“肝血管瘤”,该怎么办? [复制链接]

上一主题 下一主题
美女离线媛若惜
发帖
3711
昆币
63714 枚
只看楼主 使用道具 电梯直达
楼主  发表于: 05-07 , 来自:江苏省0==

近日,王先生(化名)因肝血管瘤在昆山市一医院接受微创手术治疗后,顺利出院。

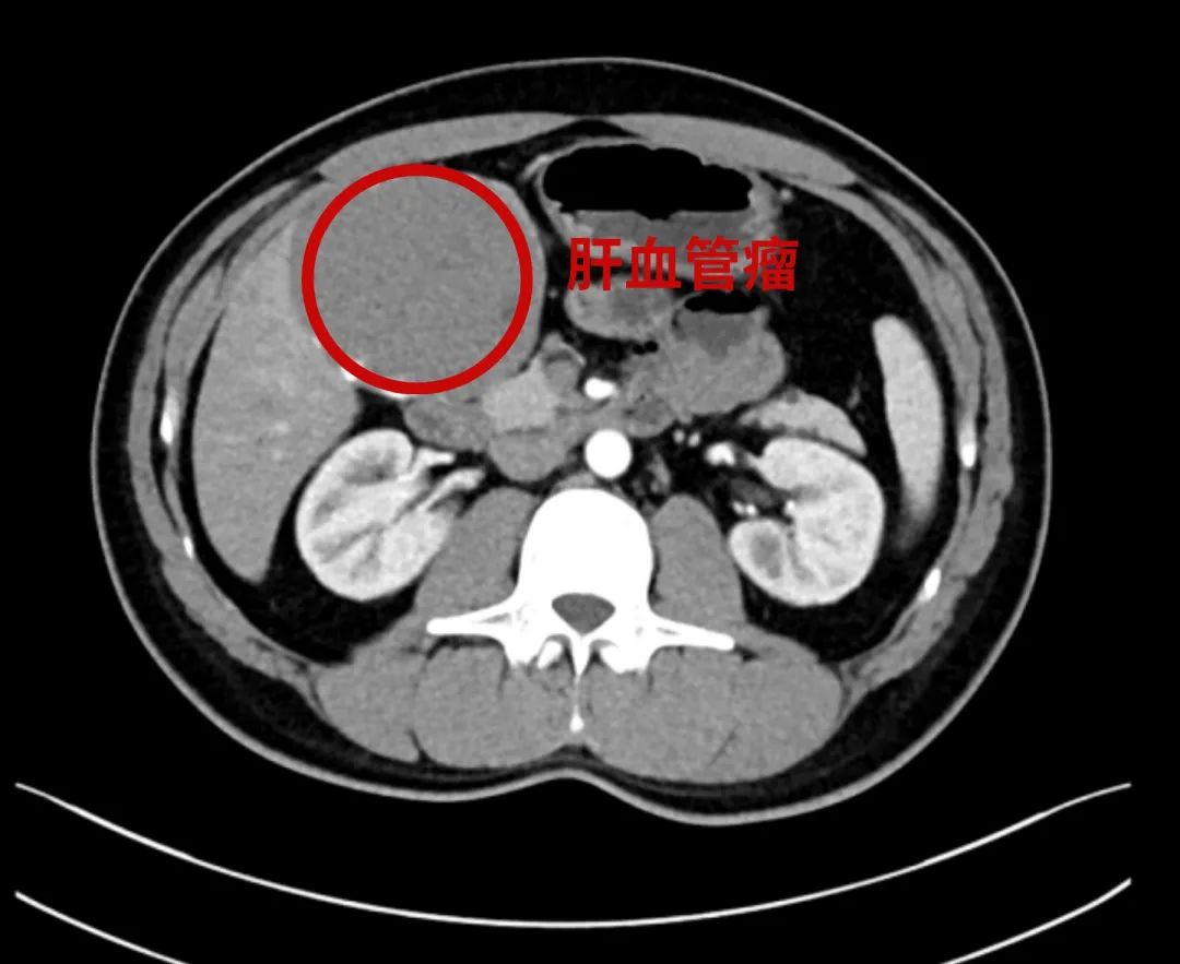
44岁的王先生8年前体检发现肝血管瘤,无不适症状,定期复查。一月前患者自觉右上腹胀痛不适,且右肋缘下可触及一包块,立即到昆山市一医院肝胆胰脾外科就诊,查增强CT提示肝血管瘤,直径达9cm,同时血管瘤内部合并局部出血。肝胆胰脾外科医生根据王先生的相关检查及临床症状,建议行腹腔镜下肝部分切除术,王先生表示同意。


增强CT可见肝血管瘤较大,且与胆囊紧密粘连

术中探查见肝脏Ⅳa、Ⅴ段脏面一肿块突出,大小约10×8×8cm,与胆囊浆膜融合,遂行腹腔镜下肝部分切除术,术中肝血管瘤包膜下完整切除,出血不到50ml。术后第一天王先生可下床活动,术后一周康复出院。

Q1

什么是肝血管瘤?

肝血管瘤是肝脏内血管异常增生形成的良性肿瘤,主要由扩张的血管组成。它多为先天性,生长缓慢,恶变风险极低,是肝脏最常见的良性肿瘤之一。

Q2

肝血管瘤发病因素有哪些?


肝血管瘤的确切病因尚不清楚,但可能与以下因素有关:

先天性发育异常

有些肝血管瘤在胚胎时期就已经形成,可能与血管发育异常有关。

激素水平

一些研究表明,雌激素水平升高可能与肝血管瘤的生长有关,这也可以解释为什么女性肝血管瘤的发病率高于男性。

其他因素

例如,肝脏损伤、感染等也可能与肝血管瘤的发生有关。

Q3

肝血管瘤会有什么症状?

大多数患者无症状:肝血管瘤通常较小,常在体检时通过超声或CT偶然发现。

少数患者可能出现不适:如果血管瘤较大(通常大于5cm),可能会压迫周围组织,引起右上腹隐痛、腹胀、恶心等症状。

罕见但危险的情况:极少数情况下,血管瘤可能破裂出血,导致剧烈腹痛甚至休克,需紧急就医。


Q4

如何诊断肝血管瘤?

超声检查

简单、无创,是初步筛查的首选方法。

CT或MRI

可以更清晰地显示血管瘤的大小、位置和特征。

血管造影

用于复杂病例,帮助医生了解肿瘤的血供情况。

Q5

肝血管瘤需要治疗吗?

大多数肝血管瘤不需要治疗,只需要定期随访观察即可。但如果出现以下情况,则需要考虑治疗:

(1)肿瘤较大(一般大于5cm)且生长迅速;

(2)出现明显症状,如腹痛、腹胀等;

(3)不能排除恶性病变的可能;

(4)肿瘤位于肝脏边缘,有破裂出血的风险


具体治疗包括:

(1)手术治疗: 包括肝血管瘤切除术、肝叶切除术等,是治疗肝血管瘤最彻底的方法。

(2)介入治疗:包括肝动脉栓塞术、射频消融术等,创伤较小,恢复较快。

(3)其他治疗:如药物治疗、放射治疗等,疗效尚不确切,一般仅作为辅助治疗。

Q6

日常生活中需要注意什么?

定期体检

尤其是已有肝血管瘤的患者,应每6-12个月复查一次。

避免剧烈运动

防止腹部受到撞击,降低血管瘤破裂的风险。

健康生活方式

均衡饮食、适量运动、戒烟限酒,保护肝脏健康。


肝胆外科主任刘瑞文:



肝血管瘤是一种常见的肝脏良性肿瘤,大多数情况下无需治疗,定期随访观察即可。但如果出现明显症状或肿瘤较大,则需要及时就医,根据医生的建议选择合适的治疗方案。



作者简介






徐相蓉

住院医师

PROFILE

硕士研究生,擅长肝胆胰脾疾病的诊断与治疗,对肝胆胰脾外科常见疾病有丰富的临床经验。


审核专家简介






刘瑞文

主任医师

PROFILE

肝胆胰脾外科科主任。擅长肝脏、胆道、胰腺、脾脏、腹壁等疾病的腹腔镜手术。对肝癌、胆囊癌、胆管癌、胰腺癌、巨脾、肝管结石、胆囊结石及息肉、门静脉高压症及普外科危重疑难病例的诊治有丰富的临床经验。



来源:昆山第一人民医院

本帖评分记录
风之子2046 昆币 +1 -来自昆山论坛APP 05-08
人生漫步 昆币 +1 -来自昆山论坛APP 05-08
浮梦半生 昆币 +1 -来自昆山论坛APP 05-08
随性 昆币 +1 -来自昆山论坛APP 05-08
金箭小鲍 昆币 +1 -来自昆山论坛APP 05-08
不再缄默 昆币 +1 -来自昆山论坛APP 05-08
你喜欢 昆币 +1 -来自昆山论坛APP 05-08
helubo027 昆币 +1 -来自昆山论坛APP 05-07
李钧炜 昆币 +1 -来自昆山论坛APP 05-07
新时代养蜂人 昆币 +1 -来自昆山论坛APP 05-07
10条评分昆币+10
爆料有奖!关注昆山论坛抖音号,抖音搜索“昆山论坛”,或搜索抖音号:ksbbs
 
帅哥在线亮剑中原
发帖
8306
昆币
10476 枚
沙发  发表于: 05-08 , 来自:江苏省0==
厉害厉害
爆料有奖!关注昆山论坛抖音号,抖音搜索“昆山论坛”,或搜索抖音号:ksbbs
 
离线lightning
发帖
1015
昆币
1556 枚
板凳  发表于: 05-08 , 来自:江苏省0==
无病是福。。。。
[ 此帖被lightning在2025-05-08 08:10重新编辑 ]
爆料有奖!关注昆山论坛抖音号,抖音搜索“昆山论坛”,或搜索抖音号:ksbbs
 
帅哥离线蒙骜
级别: 昆山名人

发帖
29647
昆币
26734 枚
地板  发表于: 05-08 , 来自:江苏省0==
    
爆料有奖!关注昆山论坛抖音号,抖音搜索“昆山论坛”,或搜索抖音号:ksbbs
 
离线嘴巴子戏
发帖
2268
昆币
2534 枚
4楼 发表于: 05-08 , 来自:江苏省0==
希望昆山的医生水平越来越高,省得大病小病都往上海跑
本帖评分记录
sergeant 昆币 +1 -来自昆山论坛APP 05-10
ksdgz12345 昆币 +1 -来自昆山论坛APP 05-09
2条评分昆币+2
爆料有奖!关注昆山论坛抖音号,抖音搜索“昆山论坛”,或搜索抖音号:ksbbs
 
帅哥离线mygod
发帖
5901
昆币
18785 枚
5楼 发表于: 05-08 , 来自:江苏省0==
回 嘴巴子戏 的帖子
嘴巴子戏:希望昆山的医生水平越来越高,省得大病小病都往上海跑 (2025-05-08 14:41)

水平再高,全国人民还是要往上海、北京跑的
本帖评分记录
ksdgz12345 昆币 +1 -来自昆山论坛APP 05-09
1条评分昆币+1
爆料有奖!关注昆山论坛抖音号,抖音搜索“昆山论坛”,或搜索抖音号:ksbbs
 
帅哥离线贝贝爱恪子
级别: 昆山新人
发帖
390
昆币
1355 枚
6楼 发表于: 05-08 , 来自:江苏省0==
一个小手术而已
爆料有奖!关注昆山论坛抖音号,抖音搜索“昆山论坛”,或搜索抖音号:ksbbs
 
快速回复
限76 字节
如果您在写长篇帖子又不马上发表,建议存为草稿
 
上一个 下一个