夜间模式
  • 6668阅读
  • 0回复

[百姓话题]心脉告急!急诊“金刚钻”救命突围 [复制链接]

上一主题 下一主题
离线顾清风
级别: 昆山新人
发帖
306
昆币
23742 枚
只看楼主 使用道具 电梯直达
楼主  发表于: 09-01 , 来自:江苏省0==

近日,67 岁的王先生在家中突然感到胸口像被巨石狠狠压住,剧烈疼痛顺着左肩蔓延,豆大的汗珠瞬间浸湿衣衫,连说话都没了力气。

家人见状慌忙将他送往巴城镇正仪社区卫生服务中心,急诊心电图检查后,医生脸色凝重 —— 提示急性冠脉综合征,情况危急!

图片

▲巴城镇正仪社区卫生服务中心急诊心电图

通过胸痛中心云平台会诊后,社区医院立即联系我院 120,一场与死神赛跑的转运救治就此展开。

图片



生死时速

从急诊接诊到造影 “破局”

图片

“120急救团队”一路疾驰,将王先生安全转运至昆山市中医医院急诊抢救室。心血管科医师第一时间到场评估,复查心电图显示AVR 导联 ST 段抬高、V1-V6 导联 ST 段压低伴 T 波高尖,这是典型的 DeWinter 综合征,背后往往隐藏着严重的冠脉病变,随时可能进展为恶性心律失常或心跳骤停。

图片

▲昆山市中医医院急诊心电图

“必须立刻做急诊冠脉造影,明确血管堵塞位置和程度!”导管室副主任徐海祥当机立断,在与家属充分沟通并签署手术同意书后,王先生被紧急推入导管室。

图片

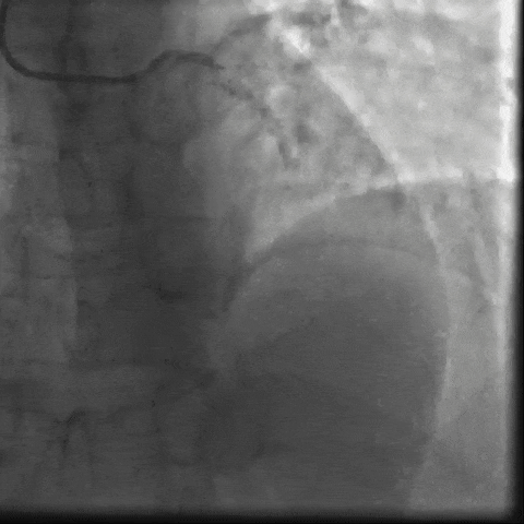
造影画面一出来,所有人都捏了把汗:左主干末段已高度狭窄,前降支近端更是完全闭塞,且血管壁上的钙化像 “铁板” 一样坚硬——这正是冠心病介入治疗领域公认的 “最后的堡垒”。

图片
图片



危机再临

钙化挡路,支架 “寸步难行”

图片

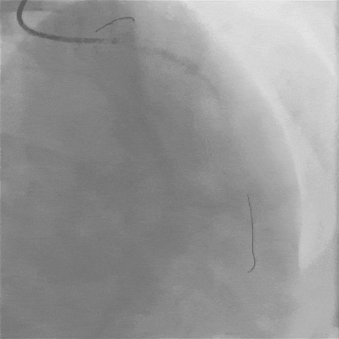
团队先尝试开通闭塞血管,可血管刚通,王先生突然出现心源性休克,血压骤降至 80/50mmHg,意识也开始模糊。医护人员立刻启动抢救预案:大剂量血管活性药物持续泵入,同时紧急置入主动脉球囊反搏(IABP),通过机械辅助维持心脏泵血功能,王先生的生命体征才暂时稳住。

图片

可新的难题接踵而至:由于血管钙化过于严重,常规支架根本无法通过狭窄段,就像 “打通了路,却过不了车”。如果支架无法植入,血管随时可能再次闭塞,之前的抢救将前功尽弃。导管室里气氛瞬间紧张,介入团队围着屏幕紧急讨论:“常规方法不行,只能上旋磨了!”


技术破局

急诊旋磨 “钻” 开生命通路

图片

冠状动脉旋磨术,正是对付这种钙化 “硬茬” 的 “金刚钻”。昆山市中医医院心血管科早已将这项技术常规应用于临床,针对高阻力病变有成熟的救治经验。团队迅速调整方案:在 IABP 的 “保驾护航” 下,选择合适尺寸的钻石涂层橄榄形磨头,以每分钟 14-18 万转的高速旋转,对钙化斑块进行 “选择性切割”。

图片

手术中,磨头像 “血管里的精密打磨机”,精准贴合钙化病变,将坚硬的钙化物磨成直径仅 5-10 微米的细小微粒 —— 这些微粒能随血流进入微循环被身体自然吸收,而正常血管因具有弹性会 “主动避让”,不会受到损伤。

图片

随着磨头缓慢推进,原本僵硬狭窄的血管逐渐变得顺滑,团队趁机将两枚支架顺利植入,彻底打通了堵塞的 “心通道”。

图片

“这类急诊旋磨手术,考验的不仅是技术,更是团队的配合速度。” 术后,心血管科主任潘文说,“从决定用旋磨到器械准备,再到手术操作,每一步都不能差,留给我们的时间不多。”


术后康复

从危重症到顺利出院

图片

术后,王先生被转入心血管科重症监护室(CCU)密切监护。医护人员 24 小时监测他的心率、血压、心肌酶等指标,调整药物剂量,预防并发症。术后第二天,当监测显示他的循环功能稳定时,团队成功撤离了 IABP;1 周后,又在血管内超声(IVUS)指导下完成支架内后扩张,确保支架与血管壁完美贴合,避免远期再狭窄。如今,王先生已顺利康复出院。

图片


知识链接

认识 “血管里的金刚钻”

图片

什么是冠状动脉旋磨术?

冠状动脉旋磨术是目前治疗重度钙化病变的核心技术之一。其原理是利用高速旋转(每分钟 14-18 万转)的钻石涂层磨头,将坚硬的钙化斑块研磨成细小微粒(直径 5-10 微米),这些微粒可随血流被微循环吸收,而正常血管组织因弹性好会 “避让” 磨头,避免损伤。术后血管内膜变得顺滑,能为支架植入创造良好条件,减少支架内再狭窄风险。

图片

冠状动脉旋磨术的适应症

  • 冠状动脉造影显示严重钙化病变(如环形钙化、钙化长度>5mm);

  • 球囊无法充分扩张(压力>16atm 仍无明显效果)或支架无法通过的狭窄病变;

  • 复杂介入治疗(如分叉病变、慢性完全闭塞病变)中,合并高钙化风险的患者;

  • 急性心梗合并重度钙化,常规支架植入困难的急诊患者。


图片

本期作者


图片

刘 诗 宇

心血管科主治医师

擅长心血管科常见疾病诊治,目前主要从事冠心病介入治疗,参与科室多项课题研究



审核专家


图片

潘 文

主任医师 心血管科主任

主任医师, 硕士生导师、心脏中心主任。现任中国医药教育协会胸痛专业委员会委员;江苏省中西医结合学会心血管专业委员会委员;江苏省中医药学会心系疾病专业委员会委员;苏州中医药学会心血管专业委员会副主任委员;苏州市医学会心血管病学专业委员会委员;苏州市医学会胸痛专业委员会委员;昆山市医学会心血管病学专业委员会副主任委员。擅长心血管内科常见病、多发病、疑难病的诊治,尤其是冠心病、高血压病介入治疗。




图片

徐海祥

主任医师 导管室副主任

昆山市心血管病学专业委员会委员兼秘书;昆山市心血管病学专业青年委员会副主任委员;苏州市络病专业委员会副主任委员;苏州市医学会心血管病学分会血脂代谢学组成员;苏州市医学会内分泌学分会代谢性心脑血管疾病学组委员;江苏省中医药学会高血压病专业委员会委员;中国医药教育协会胸痛专业委员会委员;擅长冠心病介入治疗,年独立完成各类介入手术1000余例近5年发表SCI、核心期刊发表论文6篇。




市中医医院心血管科简介

图片

昆山市中医医院心血管心血管科为苏州市中医重点专科、昆山市重点专科,科室拥有床位60张(CCU 13张),配备心导管室、心功能室、心超室、心脏康复室及中医操作室,年门诊量超7万人次,年出院患者超3300人次;心血管科常规开展各类冠脉介入治疗手术,心脏起搏器及射频消融、结构性心脏病介入手术,结构性心脏病介入治疗手术等。2023年开展各类心脏介入手术3000余台次,其中PCI 900台次,急诊手术400余台次,起搏电生理约200台次。

图片

来源:昆山市中医医院

本帖评分记录
不再缄默 昆币 +1 -来自昆山论坛APP 09-02
高维豪 昆币 +1 -来自昆山论坛APP 09-01
2条评分昆币+2
爆料有奖!关注昆山论坛抖音号,抖音搜索“昆山论坛”,或搜索抖音号:ksbbs
 
快速回复
限76 字节
批量上传需要先选择文件,再选择上传
 
上一个 下一个