昆山首例!3D打印医疗技术在中医院首次亮相
昆山首例!
昆山市中医医院脊柱骨科
首次将3D打印技术运用到脊柱融合手术中
大大提高了手术精准性和安全性!
64岁的邱某因“腰痛多年,加重伴左下肢放射痛1月”来到昆山市中医医院脊柱骨科陈勇主任门诊就诊,经对患者的评估后,陈勇主任考虑其为“腰椎间盘突出症、腰椎椎管狭窄症”,随即安排住院治疗。
入院后,陈勇主任在科室组织了病例讨论并表示:常规保守治疗只能缓解症状无法从根本上解决病根。目前,患者已保守治疗1月,症状未见明显缓解,且进行性加重。影像学可见腰椎间盘突出伴椎管狭窄严重程度高,有明确的手术指征,结合患者及其家属的意愿,选择腰椎后路减压植骨融合内固定术。
▲术前MRI
然而患者需行多节段腰椎融合
如何规避神经损伤风险?
术前打印解剖模型
提前规划手术方案
陈勇主任在医学3D打印技术团队的支持下,通过术前采集患者目标椎体的三维信息,运用3D打印技术重建脊柱三维模型,设计椎弓根螺钉的置入钉道,有效控制置钉的位置、方向及角度,从而提高置钉的准确性和成功率,以减少术中置钉过程中神经损伤的风险。
▲3D打印直观显示椎体结构,指导手术精准置钉
使用术中个体化导向模板
提高置钉安全性及成功率
陈勇主任团队顺利为患者置入椎弓根螺钉。术后患者腰腿痛症状较术前明显缓解,肢体活动无障碍,术后3天即在脊柱支具外固定的辅助下下地行走,术后第7天患者恢复情况良好,顺利出院。
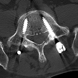
▲术中椎弓根螺钉精准置入
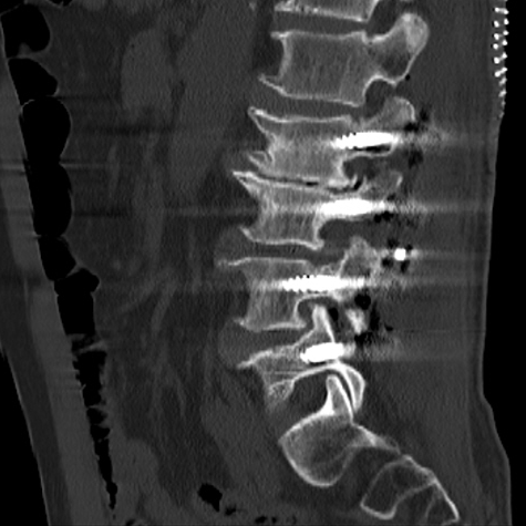
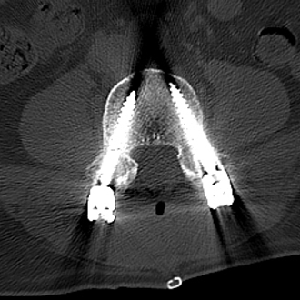
▲术后复查X线、CT
椎弓根螺钉内固定技术是目前脊柱手术中最常应用的固定技术,但在椎弓根置钉过程中存在损伤神经与血管的风险。提高置钉安全性及成功率一直是脊柱外科医师研究的重要内容。
既往脊柱外科医生仅能根据术前影像学资料制定手术方案,但3D打印技术的出现,可以客观、立体、快速地复制出患者目标脊柱的1:1实物模型,并可根据需要建立不同的剖面打印图,利于术者更直观地观察特定区域的骨、血管、脊髓神经等毗邻关系和个体化解剖特点,制定精细化、个体化的手术方案,从而在一定程度上提高了椎弓根螺钉置入或某些穿刺诊疗操作的精准性和安全性。
脊柱手术导向模板的应用尤其适宜脊柱侧弯的患者,因为这类患者往往伴随有椎体的旋转或畸形,置钉位置多变,操作难度高。而根据术前建立的钉道辅助板,则可以有效避免这些问题。
3D打印技术介绍
3D打印技术又称增材制造技术,是一种新型工艺,它将复杂的三维物体转换为简单的二维切片,再通过计算机辅助设计创建出模型,继而采用逐层制造的方法将材料结合起来。这种快速成形技术能在短时间内“打印”出任意复杂形状与结构的物体。
骨骼作为一种硬组织,形态与结构相对恒定,采集自CT等影像学图像的骨骼数据经转换即可获得3D打印所需的数字模型文件。正是由于这种便捷的数据转换途径,3D打印技术在骨科,尤其在脊柱外科中的应用明显早于医学其他领域,发展也更为迅速。
三大变革!
3D打印技术的应用大大提高了脊柱外科治疗的精准性、可靠性和创新性,为脊柱疾病的诊疗带来了革命性的变革,主要体现在三个方面:
3D打印导板提高了手术精准性和安全性,如椎弓根螺钉置入或某些穿刺诊疗操作。
3D打印钛合金人工椎体替代传统钛网,提高了置入物的稳定性和融合效果。
3D打印模型帮助医生更好地规划复杂手术。
定制化3D打印植入物解决了一些高难度手术的关键技术问题,如枢椎肿瘤切除后的颈椎稳定性重建、胸腰椎多节段全脊椎切除后的稳定性重建,显著增强了手术后脊柱的力学支撑功能。
3D打印钛合金假体可根据解剖结构定制化修复复杂骨缺损。
假体与宿主骨的新型融合方式为骨缺损修复提供了新思路。
随着技术的发展,在不久的将来,3D打印必将在诊疗中扮演更重要的角色。3D打印可用于制作精细的解剖模型,帮助诊断和术前仿真;导向模板提高了手术精准性和安全性;同时也能生产定制化的植入物,更好地适配患者解剖结构,提高手术效果。3D打印技术颠覆传统的治疗方式,助力实现更加精准、个性化的治疗,提高患者生活质量。
来源:昆山市中医医院



























